
Formalin-fixed, paraffin-embedded human breast carcinoma stained with E2F4 Mouse Monoclonal Antibody (E2F4/4224). HIER: Tris/EDTA, pH9.0, 45min. 2°C: HRP-polymer, 30min. DAB, 5min.

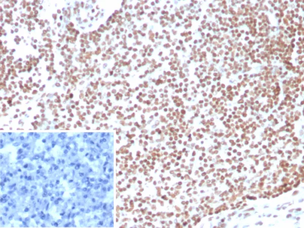
Formalin-fixed, paraffin-embedded human lymph node stained with E2F4 Mouse Monoclonal Antibody (E2F4/4224). Inset: PBS instead of primary antibody; secondary only negative control.

Analysis of Protein Array containing more than 19,000 full-length human proteins using E2F4 Mouse Monoclonal Antibody (E2F4/4224). Z- and S- Score: The Z-score represents the strength of a signal that a monoclonal antibody (MAb) (in combination with a fluorescently-tagged anti-IgG secondary antibody) produces when binding to a particular protein on the HuProtTM array. Z-scores are described in units of standard deviations (SD's) above the mean value of all signals generated on that array. If targets on HuProtTM are arranged in descending order of the Z-score, the S-score is the difference (also in units of SD's) between the Z-score. S-score therefore represents the relative target specificity of a MAb to its intended target. A MAb is considered to specific to its intended target, if the MAb has an S-score of at least 2.5. For example, if a MAb binds to protein X with a Z-score of 43 and to protein Y with a Z-score of 14, then the S-score for the binding of that MAb to protein X is equal to 29.
The human retinoblastoma gene product appears to play an important role in the negative regulation of cell proliferation. Functional inactivation of Rb can be mediated either through mutation or as a consequence of interaction with DNA tumor virus-encoded proteins. Of all the Rb associations described to date, the identification of a complex between Rb and the transcription factor E2F most directly implicates Rb in regulation of cell proliferation. E2F was originally identified through its role in transcriptional activation of the adenovirus E2 promoter. Sequences homologous to the E2F binding site have been found upstream of a number of genes that encode proteins with putative functions in the G1 and S phases of the cell cycle. E2F-1 is a member of a broader family of transcription regulators including E2F-2, E2F-3, E2F-4, E2F-5, E2F-6 and E2F-7 each of which forms heterodimers with a second protein, DP-1, forming an active E2F transcriptional regulatory complex.
There are no reviews yet.