Recombinant E2F4 (Transcription Factor) Antibody [E2F4/8811R]

In Stock
Catalog Number Formulation Size Price
1874-RBM19-P0
Purified Ab with BSA and Azide at 200ug/ml
20ug
$259.00
1874-RBM19-P1
Purified Ab with BSA and Azide at 200ug/ml
100ug
$559.00
1874-RBM19-P1ABX
Purified Ab WITHOUT BSA and Azide at 1.0mg/ml
100ug
$559.00
Flat Rate Domestic: $95 | Orders outside the US - Contact Us for Order Information | Ships next business day

Applications & Dilutions

Applications Tested Dillution Protocol Note
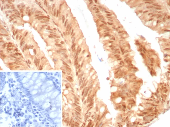
Immunohistochemistry (IHC)
1-2ug/ml
30 min at RT. Staining of formalin-fixed tissues requires heating tissue sections in 10mM Tris with 1mM EDTA, pH 9.0, for 45 min at 95°C followed by cooling at RT for 20 minutes

Summary

The human retinoblastoma gene product appears to play an important role in the negative regulation of cell proliferation. Functional inactivation of Rb can be mediated either through mutation or as a consequence of interaction with DNA tumor virus-encoded proteins. Of all the Rb associations described to date, the identification of a complex between Rb and the transcription factor E2F most directly implicates Rb in regulation of cell proliferation. E2F was originally identified through its role in transcriptional activation of the adenovirus E2 promoter. Sequences homologous to the E2F binding site have been found upstream of a number of genes that encode proteins with putative functions in the G1 and S phases of the cell cycle. E2F-1 is a member of a broader family of transcription regulators including E2F-2, E2F-3, E2F-4, E2F-5, E2F-6 and E2F-7 each of which forms heterodimers with a second protein, DP-1, forming an active E2F transcriptional regulatory complex.

Product Properties & Targets

Host
Rabbit
Applications
Species Reactivity
Isotype / Light Chain
IgG / Kappa
Cellular Localization
Nucleus.
Gene Name
Positive Control
Brain|Found in all tissue examined including heart|kidney and pancreas.|liver|lung|Placenta|skeletal muscle
Immunogen
Recombinant fragment (around aa1-100) of human E2F4 protein (exact sequence is proprietary)
Alternate Names
Transcription factor E2F4, E2F transcription factor 4; E2F transcription factor 4 p107/p130 binding; E2F-4; p107/p130 binding protein

Database Links

Entrez Gene ID
SwissProt

Additional Information

Clone
E2F4/8811R
Chromosome Location
16q22.1
Mol. Weight of Antigen
60kDa

Functions

  • Transcription activator that binds DNA cooperatively with DP proteins through the E2 recognition site, 5'-TTTC[CG]CGC-3' found in the promoter region of a number of genes whose products are involved in cell cycle regulation or in DNA replication. The DRTF1/E2F complex functions in the control of cell-cycle progression from G1 to S phase. E2F4 binds with high affinity to RBL1 and RBL2. In some instances can also bind RB1. Specifically required for multiciliate cell differentiation: together with MCIDAS and E2F5, binds and activate genes required for centriole biogenesis.

Key References

  • Chellappan, S., et al. 1991. The E2F transcription factor is a cellular target for the Rb protein. Cell 65: 1053-1061.

Storage & Stability

Antibody with azide - store at 2 to 8°C. Antibody without azide - store at -20 to -80°C.Antibody is stable for 24 months. Non-hazardous. No MSDS required.

Limitations

This antibody is available for research use only and is not approved for use in diagnosis.

Supplied as

200ug/ml of Ab purified from Bioreactor Concentrate by Protein A/G. Prepared in 10mM PBS with 0.05% BSA & 0.05% azide. Also available WITHOUT BSA & azide at 1.0mg/ml.

Warranty

There are no warranties, expressed or implied, which extend beyond this description. Company is not liable for any personal injury or economic loss resulting from this product.

Reviews

There are no reviews yet.

Be the first to review “Recombinant E2F4 (Transcription Factor) Antibody”

Your email address will not be published. Required fields are marked *

PARTNERSHIP OPPORTUNITIES

NeoBiotechnologies holds Exclusive rights to 10,000 recombinant and hybridoma antibody products, available for Licensing or Collaboration.

LETS TALK