
Formalin-fixed, paraffin-embedded human Tonsil stained with Double Stranded DNA Mouse Monoclonal Antibody (AE-2)

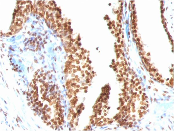
Formalin-fixed, paraffin-embedded human Colon Carcinoma stained with Double Stranded DNA Mouse Monoclonal Antibody (AE-2)
This monoclonal antibody is part of a new panel of reagents, which recognizes subcellular organelles or compartments of human cells. These markers may be useful in identification of these organelles in cells, tissues, and biochemical preparations. This MAb recognizes the double stranded DNA in human cells. It can be used to stain the nuclei in cell or tissue preparations and can be used as a nuclear marker in human cells. This MAb produces a homogeneous staining pattern in the nucleus of normal and malignant cells.Double Stranded deoxyribonucleic acid (ds DNA) is the genetic material of all cells and many viruses and is a polymer of nucleotides. The monomer consists of phosphorylated 2-deoxyribose N-glycosidically linked to one of four bases, adenine, cytosine, guanine or thymine. These are linked together by 3′,5′-phosphodiester bridges. In the Watson-Crick double-helix model, two complementary strands are wound in a right-handed helix and held together by hydrogen bonds between complementary base pairs.
There are no reviews yet.