Recombinant Cytokeratin 8/18 Antibody [KRT8.18/6579R]

In Stock
Catalog Number Formulation Size Price
RBM49-6579-P0
Purified Ab with BSA and Azide at 200ug/ml
20ug
$259.00
RBM49-6579-P1
Purified Ab with BSA and Azide at 200ug/ml
100ug
$559.00
RBM49-6579-P1ABX
Purified Ab WITHOUT BSA and Azide at 1.0mg/ml
100ug
$559.00
Flat Rate Domestic: $95 | Orders outside the US - Contact Us for Order Information | Ships next business day

Applications & Dilutions

Applications Tested Dillution Protocol Note
Flow Cytometry (Flow)
1-2ug/million cells
Immunofluorescence (IF)
1-3ug/ml
Immunohistochemistry (IHC)
1-2ug/ml
30 min at RT. Staining of formalin-fixed tissues requires heating tissue sections in 10mM Tris with 1mM EDTA, pH 9.0, for 45 min at 95°C followed by cooling at RT for 20 minutes
Western Blot (WB)
2-4ug/ml

Summary

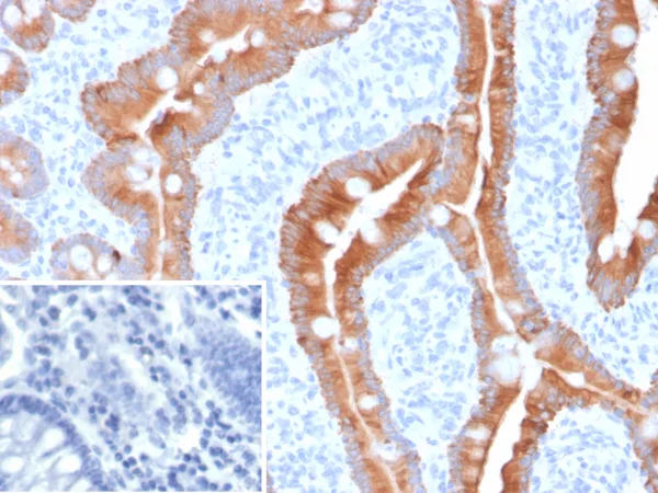
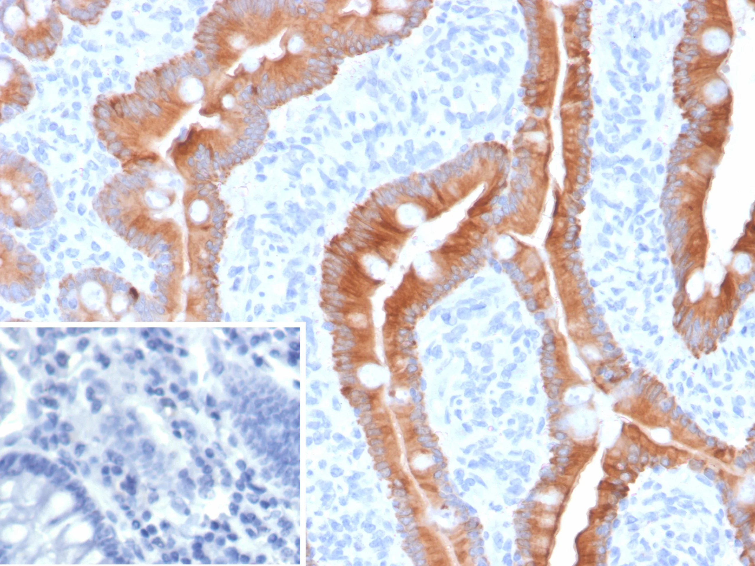
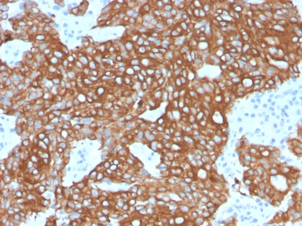
Cytokeratin 8 (CK8) belongs to the type II (or B or basic) subfamily of high molecular weight cytokeratins and exists in combination with cytokeratin 18 (CK18). This MAb cocktail recognizes all simple epithelia including glandular epithelium, for example thyroid, female breast, gastrointestinal tract, respiratory tract, and urogenital tract including transitional epithelium. All adenocarcinomas and most squamous carcinomas are positive but keratinizing squamous carcinomas are usually negative. This antibody is useful in demonstrating the presence of Paget cells; there is very little keratin 18 in the normal epidermis so only Paget cells are stained.Immunohistochemical staining with this MAb is indistinguishable from that obtained with monoclonal antibody 5D3.

Product Properties & Targets

Host
Rabbit
Species Reactivity
Isotype / Light Chain
IgG / Kappa
Cellular Localization
Cytoplasm
Gene Name
Positive Control
Human skin, colon, lung or breast carcinoma. MCF-7 or A431 cells.
Immunogen
Recombinant full-length human CK8 and CK8 proteins
Alternate Names
Keratin, type II cytoskeletal 8, Cytokeratin-8, Keratin-8, Type-II keratin Kb8, CARD2; CK8; CYK8; CYKER; Cytokeratin Endo A; DreK8; K2C8; K8; Keratin 8; Krt 2.8; KRT8; Type-II Keratin Kb8. Cell Proliferation-inducing Gene 46 Protein; CK18; CYK18 Cytokeratin Endo B; K18; Keratin-18; Kerd; KRT18, KRT8/18, CK8/18

Additional Information

Clone
KRT8.18/6579R
Chromosome Location
17q21.2 (CK8); 12q13.13 (CK18)
Mol. Weight of Antigen
52.5kDa (CK8); 45kDa (CK18)

Functions

  • Together with KRT19, helps to link the contractile apparatus to dystrophin at the costameres of striated muscle.

Key References

  • Angus B et. al. J Path, 153:377-384, 1987.
  • Angus B et. al. J Path, 155:71-75, 1988

PubMed Links

Storage & Stability

Antibody with azide - store at 2 to 8 °C. Antibody without azide - store at -20 to -80 °C. Antibody is stable for 24 months. Non-hazardous. No MSDS required.

Limitations

This antibody is available for research use only and is not approved for use in diagnosis.

Supplied as

200ug/ml of Ab purified from Bioreactor Concentrate by Protein A/G. Prepared in 10mM PBS with 0.05% BSA & 0.05% azide. Also available WITHOUT BSA & azide at 1.0mg/ml.

Warranty

There are no warranties, expressed or implied, which extend beyond this description. Company is not liable for any personal injury or economic loss resulting from this product.

Reviews

There are no reviews yet.

Be the first to review “Recombinant Cytokeratin 8/18 Antibody”

Your email address will not be published. Required fields are marked *

PARTNERSHIP OPPORTUNITIES

NeoBiotechnologies holds Exclusive rights to 10,000 recombinant and hybridoma antibody products, available for Licensing or Collaboration.

LETS TALK