
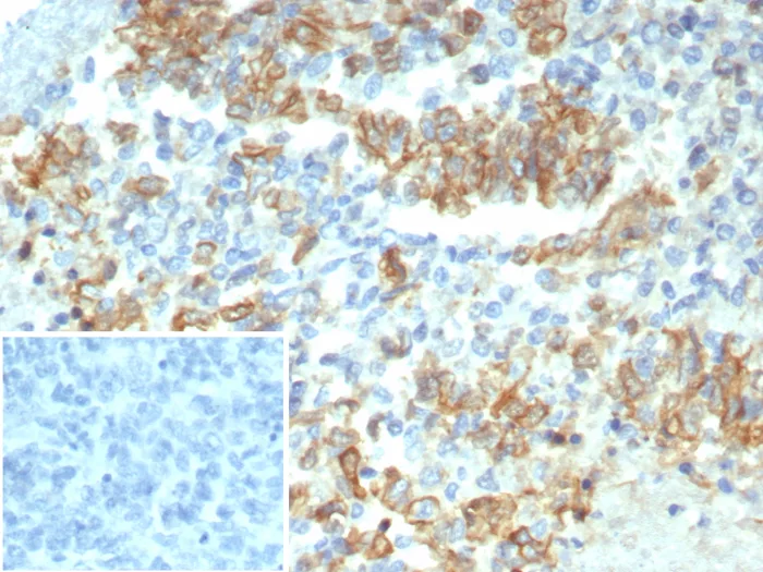
Formalin-fixed, paraffin-embedded human ovarian carcinoma stained with Cytokeratin-7 Mouse Monoclonal Antibody (KRT7/3733). Inset: PBS instead of primary antibody; secondary only negative control.

Formalin-fixed, paraffin-embedded human bladder carcinoma stained with Cytokeratin-7 Mouse Monoclonal Antibody (KRT7/3733). HIER: Tris/EDTA, pH9.0, 45min. 2°C: HRP-polymer, 30min. DAB, 5min.
It recognizes an intermediate filament protein (IFP) of 55kDa, which is identified as cytokeratin 7. This MAb is highly specific to cytokeratin 7 and shows no cross-reaction with other IFPs. Cytokeratin 7 is a basic cytokeratin, which is found in most glandular and transitional epithelia but not in the stratified squamous epithelia. Keratin 7 is expressed in the epithelial cells of ovary, lung, and breast but not of colon, prostate, or gastrointestinal tract. MAb to cytokeratin 7 is highly useful in distinguishing ovarian carcinomas (keratin 7+) from colon carcinomas (keratin 7-).
There are no reviews yet.