Cytokeratin 5/8 Antibody [C-50]

In Stock
Catalog Number Formulation Size Price
MSM13-948-P0
Purified Ab with BSA and Azide at 200ug/ml
20ug
$259.00
MSM13-948-P1
Purified Ab with BSA and Azide at 200ug/ml
100ug
$559.00
MSM13-948-P1ABX
Purified Ab WITHOUT BSA and Azide at 1.0mg/ml
100ug
$559.00
Flat Rate Domestic: $95 | Orders outside the US - Contact Us for Order Information | Ships next business day

Applications & Dilutions

Applications Tested Dillution Protocol Note
Flow Cytometry (Flow)
1-2ug/million cells
Immunofluorescence (IF)
1-3ug/ml
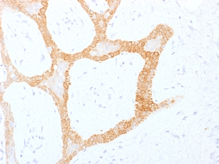
Immunohistochemistry (IHC)
1-2ug/ml
30 min at RT. Staining of formalin-fixed tissues requires heating tissue sections in 10mM Tris with 1mM EDTA, pH 9.0, for 45 min at 95°C followed by cooling at RT for 20 minutes
Western Blot (WB)
2-4ug/ml

Summary

It reacts with keratin 5 (58kDa) and keratin 8 (52.5kDa). Simple epithelia express cytokeratin 8 in combination with 18. On the other hand, basal cells of stratified epithelia express cytokeratin 5 paired with 14. This antibody therefore, reacts with a wide range of epithelia and their carcinomas.

Product Properties & Targets

Antibody Type
Host
Mouse
Species Reactivity
Isotype / Light Chain
IgG1 / Kappa
Gene Name
Positive Control
HepG2 or A431 cells. Skin or Squamous cell carcinoma.
Immunogen
Cytoskeletal preparation from HeLa cells
Alternate Names
Keratin, type II cytoskeletal 5, 58 kDa cytokeratin, Cytokeratin-5, Keratin-5, Type-II keratin Kb5, CK5; DDD; EBS2; Epidermolysis bullosa simplex 2 Dowling-Meara/Kobner/Weber-Cockayne Types; K5; Keratin complex 2, basic, Gene 5; Keratin Type II Cytoskeletal 5; Keratin-5; KRT5; KRT5A; Type II Cytoskeletal 5; Type-II Keratin Kb5. CK8; CARD2; CYK8; CYKER; Cytokeratin Endo A; DreK8; EndoA; K2C8; K8; Keratin 8; Krt 2.8; KRT8; Type-II Keratin Kb8

Database Links

Entrez Gene ID
SwissProt

Additional Information

Clone
C-50
Chromosome Location
12q13.13 (CK5) & 17q21.2 (CK8)
Mol. Weight of Antigen
58kDa (CK5); 52.5kDa (CK8)

Key References

  • Bartkova et al. Neoplasma 38(4), 439-46 (1991).
  • Vojtek et al. Folia Biol. 37(3-4): 197-206 (1991).
  • Bartek et al. J. of Pathology 164, 215-24 (1991).
  • Kovaik et al. J. Tumor Marker Oncol. 5, 219 (1990).

PubMed Links

Storage & Stability

Store at 2 to 8°C. Antibody is stable for 24 months.

Limitations

This antibody is available for research use only and is not approved for use in diagnosis.

Supplied as

200ug/ml of Ab purified from Bioreactor Concentrate by Protein A/G. Prepared in 10mM PBS with 0.05% BSA & 0.05% azide. Also available WITHOUT BSA & azide at 1.0mg/ml.

Warranty

There are no warranties, expressed or implied, which extend beyond this description. Company is not liable for any personal injury or economic loss resulting from this product.

Reviews

There are no reviews yet.

Be the first to review “Cytokeratin 5/8 Antibody”

Your email address will not be published. Required fields are marked *

PARTNERSHIP OPPORTUNITIES

NeoBiotechnologies holds Exclusive rights to 10,000 recombinant and hybridoma antibody products, available for Licensing or Collaboration.

LETS TALK