
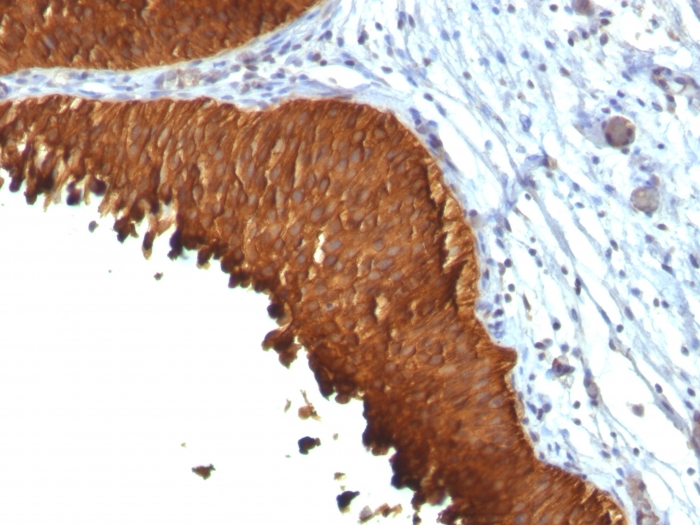
Formalin-fixed, paraffin-embedded human Cervical Carcinoma stained with Cytokeratin 19 Monoclonal Antibody (KRT19/799 + KRT19/800)

Formalin-fixed, paraffin-embedded human Bladder Carcinoma stained with Cytokeratin 19 Monoclonal Antibody (KRT19/799 + KRT19/800)

Formalin-fixed, paraffin-embedded human Ovarian Carcinoma stained with Cytokeratin 19 Monoclonal Antibody (KRT19/799 + KRT19/800)
Recognizes a protein of 40kDa, identified as cytokeratin-19 (CK19), which is expressed in sweat gland, mammary gland ductal and secretory cells, bile ducts, gastrointestinal tract, bladder urothelium, oral epithelia, esophagus, and ectocervical epithelium. Anti-CK19 reacts with a wide variety of epithelial malignancies including adenocarcinomas of the colon, stomach, pancreas, biliary tract, liver, and breast. Perhaps the most useful application is the identification of thyroid carcinoma of the papillary type, although 50%-60% of follicular carcinomas are also labeled. Anti-CK19 is a useful marker for detection of tumor cells in lymph nodes, peripheral blood, bone marrow and breast cancer.
There are no reviews yet.