
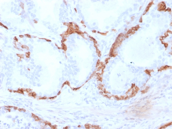
Formalin-fixed, paraffin-embedded human Prostate Carcinoma stained with Cytokeratin 14 Mouse Monoclonal Antibody (KRT14/2375).

Formalin-fixed, paraffin-embedded human Skin stained with Cytokeratin 14 Mouse Monoclonal Antibody (KRT14/2375).

SDS-PAGE Analysis Purified Cytokeratin 14 Mouse Monoclonal Antibody (KRT14/2375). Confirmation of Purity and Integrity of Antibody.
Cytokeratin 14 (CK14) belongs to the type I (or A or acidic) subfamily of low molecular weight keratins and exists in combination with keratin 5 (type II or B or basic). CK14 is found in basal cells of squamous epithelia, some glandular epithelia, myoepithelium, and mesothelial cells. Anti-CK14 is useful in differentiating squamous cell carcinomas from poorly differentiated epithelial tumors. Anti-CK14 is one of the specific basal markers for distinguishing between basal and non-basal subtypes of breast carcinomas. Anti-CK14 is also a good marker for differentiation of intraductal from invasive salivary duct carcinoma by the positive staining of basal cells surrounding the in-situ neoplasm as well as for differentiation of benign prostate from prostate carcinoma. Furthermore, this antibody has been useful in separating oncocytic tumors of the kidney from its renal mimics, and in identifying metaplastic carcinomas of the breast.
There are no reviews yet.