Crystallin Alpha B Antibody [CRYAB/7917]

In Stock
Catalog Number Formulation Size Price
1410-MSM17-P0
Purified Ab with BSA and Azide at 200ug/ml
20ug
$259.00
1410-MSM17-P1
Purified Ab with BSA and Azide at 200ug/ml
100ug
$559.00
1410-MSM17-P1ABX
Purified Ab WITHOUT BSA and Azide at 1.0mg/ml
100ug
$559.00
Flat Rate Domestic: $95 | Orders outside the US - Contact Us for Order Information | Ships next business day

Applications & Dilutions

Applications Tested Dillution Protocol Note
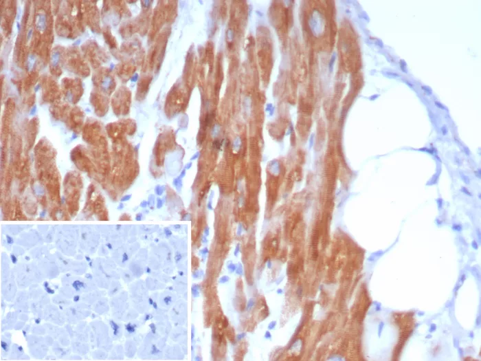
Immunohistochemistry (IHC)
1-2ug/ml
30 min at RT. Staining of formalin-fixed tissues requires heating tissue sections in 10mM Tris with 1mM EDTA, pH 9.0, for 45 min at 95°C followed by cooling at RT for 20 minutes

Summary

Crystallins are the major proteins of the vertebrate eye lens, where they maintain the transparency and refractive index of the lens. Crystallins are divided into α, β and γ families, and the β- and γ-crystallins also compose a superfamily. Crystallins usually contain seven distinct protein regions, including four homologous motifs, a connecting peptide and N- and C-terminal extensions. α-crystallins consist of three gene products, αA-, αB- and αC-crystallin, which are members of the small heat shock protein family (HSP 20). α-crystallins act as molecular chaperones by holding denatured proteins in large soluble aggregates. However, unlike other molecular chaperones, α-crystallins do not renature these proteins. Expression of αA-crystallin is restricted to the lens and defects of this gene cause the development of autosomal dominant congenital cataracts (ADCC). The human αB-crystallin gene product is expressed in many tissues, including lens, heart and skeletal muscle. Elevated expression of αB-crystallin is associated with many neurological diseases, and a missense mutation in this gene has co-segregated in a family with a Desmin-related myopathy.

Product Properties & Targets

Antibody Type
Host
Mouse
Applications
Species Reactivity
Research Areas
Isotype / Light Chain
IgG1 / Kappa
Cellular Localization
Cytoplasm, Nucleus, Secreted
Gene Name
Positive Control
Human heart, kidney or brain.
Immunogen
Recombinant human full-length CRYAB protein
Alternate Names
Alpha-crystallin B chain, Alpha(B)-crystallin, Heat shock protein beta-5, Renal carcinoma antigen NY-REN-27, Rosenthal fiber component, AACRYA; Alpha B crystallin; Alpha-crystallin B chain; CRYA2; CTTP2; Heat shock 20 kD like protein; Heat shock protein beta-5; HspB5; Renal carcinoma antigen NY REN 27; Rosenthal fiber component

Database Links

Entrez Gene ID
SwissProt

Additional Information

Clone
CRYAB/7917
Chromosome Location
11q23.1
Mol. Weight of Antigen
Predicted: 20kDa; Observed: 22-30kDa

Functions

  • May contribute to the transparency and refractive index of the lens. Has chaperone-like activity, preventing aggregation of various proteins under a wide range of stress conditions. In lens epithelial cells, stabilizes the ATP6V1A protein, preventing its degradation by the proteasome (By similarity).

Key References

  • Haley, D.A., et al. 1998. J. Mol. Biol. 277: 27

PubMed Links

Storage & Stability

Antibody with azide - store at 2 to 8°C. Antibody without azide - store at -20 to -80°C. Antibody is stable for 24 months. Non-hazardous. No MSDS required.

Limitations

This antibody is available for research use only and is not approved for use in diagnosis.

Supplied as

200ug/ml of Ab purified from Bioreactor Concentrate by Protein A/G. Prepared in 10mM PBS with 0.05% BSA & 0.05% azide. Also available WITHOUT BSA & azide at 1.0mg/ml.

Warranty

There are no warranties, expressed or implied, which extend beyond this description. Company is not liable for any personal injury or economic loss resulting from this product.

Reviews

There are no reviews yet.

Be the first to review “Crystallin Alpha B Antibody”

Your email address will not be published. Required fields are marked *

PARTNERSHIP OPPORTUNITIES

NeoBiotechnologies holds Exclusive rights to 10,000 recombinant and hybridoma antibody products, available for Licensing or Collaboration.

LETS TALK