
Formalin-fixed, paraffin-embedded human Tonsil stained with CD73 Mouse Monoclonal Antibody (NT5E/2545).

Formalin-fixed, paraffin-embedded human Tonsil stained with CD73 Mouse Monoclonal Antibody (NT5E/2545).

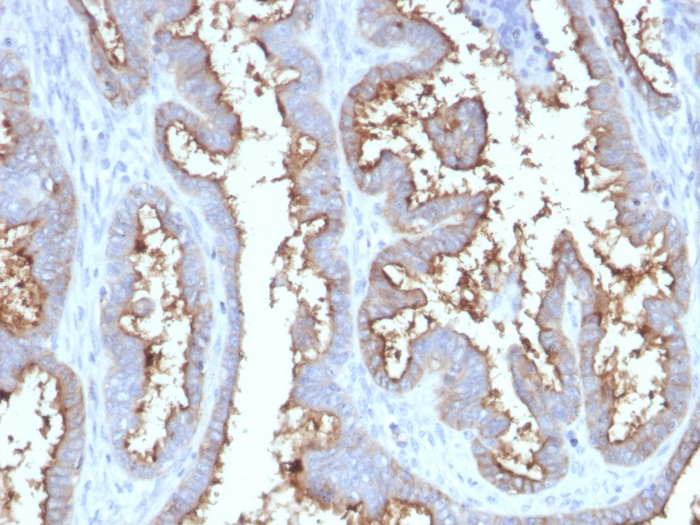
Formalin-fixed, paraffin-embedded human Prostate Carcinoma stained with CD73 Mouse Monoclonal Antibody (NT5E/2545).

Formalin-fixed, paraffin-embedded human Pancreatic Carcinoma stained with CD73 Mouse Monoclonal Antibody (NT5E/2545).
CD73 (also designated ecto-5′-nucleotidase, E5NT, NT, NT5, NTE, eN and eNT) is a glycosyl-phosphatidylinositol (GPI)-anchored adhesion protein that catalyzes the dephosphorylation of extracellular purine and pyrimidine nucleotides to their corresponding bioactive nucleosides. CD73 is a dimer of two identical subunits that depends on GPI to link with the external face of the plasma membrane. Similar to other GPI-anchored proteins, CD73 mediates co-stimulatory signals in T cell activation. CD73 has few structural variants, yet elicits diverse biological function through differential regulation in endothelial cells (EC), subpopulations of B and T cells, germinal center follicular dendritic cells and on thymic medullary reticular fibroblasts. For example, IgG mediated neutralization of CD73 interferes with lymphocyte adhesion to EC, and blocks aggregation of germinal center B cells and follicular dendritic cells. Furthermore, IgG-mediated targeting of lymphocyte CD73, but not of endothelial cell CD73, causes shedding of CD73 and tyrosine phosphorylation of proteins.
There are no reviews yet.