CD72 (B Cell Marker) Antibody [BU40]

In Stock
Catalog Number Formulation Size Price
971-MSM1-P0
Purified Ab with BSA and Azide at 200ug/ml
20ug
$259.00
971-MSM1-P1
Purified Ab with BSA and Azide at 200ug/ml
100ug
$559.00
971-MSM1-P1ABX
Purified Ab WITHOUT BSA and Azide at 1.0mg/ml
100ug
$559.00
Flat Rate Domestic: $95 | Orders outside the US - Contact Us for Order Information | Ships next business day

Applications & Dilutions

Applications Tested Dillution Protocol Note
Flow Cytometry (Flow)
1-2ug/million cells
Immunofluorescence (IF)
1-3ug/ml
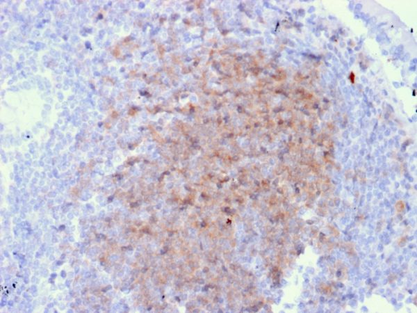
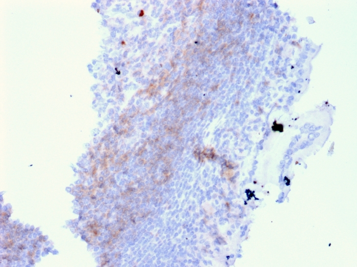
Immunohistochemistry (IHC)
1-2ug/ml
30 min at RT. Staining of formalin-fixed tissues requires heating tissue sections in 10mM Tris with 1mM EDTA, pH 9.0, for 45 min at 95°C followed by cooling at RT for 20 minutes

Summary

CD5 has been identified as a transmembrane glycoprotein that is expressed on 70% of normal peripheral blood lymphocytes and on virtually all T lymphocytes in thymus and peripheral blood. Activation of T cells through the T cell receptor (TCR) results in tyrosine phosphorylation of CD5, and the absence of CD5 renders T cells hyper-responsive to TCR-mediated activation. CD5 associates with the TCR/CD3 chain, and with the Src family kinase, Lck p56. The C-type lectin superfamily member CD72 is a cell surface negative regulator of B cell activation from the pro-B through the mature B cell stage. CD72 serves as a receptor for CD5. The ability of lymphocytes to respond to antigenic or mitogenic stimulation utilizes both positive and negative regulatory proteins that influence the threshold for responsiveness. The human CD72 gene maps to chromosome 9p13.3 and encodes a transmembrane glycoprotein that contains an ITIM. Upon tyrosine phosphorylation, the CD72 ITIM recruits SH2-containing phosphatases such as SHP-1, resulting in downregulation of cell activation. CD72-/- mice contain hyperproliferative B cells.

Product Properties & Targets

Antibody Type
Host
Mouse
Species Reactivity
Isotype / Light Chain
IgG2a / Kappa
Cellular Localization
Membrane
Gene Name
Positive Control
K562 cel lysate. Tonsil or Lymph Node.
Immunogen
HF B1 plasmacytoid cell line.
Alternate Names
B-cell differentiation antigen CD72, Lyb-2, B cell differentiation antigen CD72; CD72b; CD72c; Ly-19; Ly-32; Ly-m19; LYB2; Lymphocyte antigen 32

Database Links

Entrez Gene ID
971
SwissProt

Additional Information

Clone
BU40
Chromosome Location
9p13.3
Mol. Weight of Antigen
45kDa

Functions

  • Plays a role in B-cell proliferation and differentiation.

Key References

  • Yoshida, Y., et al. 2015. Arthritis Rheumatol. 67: 1481-1490.

Storage & Stability

Antibody with azide - store at 2 to 8°C. Antibody without azide - store at -20 to -80°C. Antibody is stable for 24 months. Non-hazardous. No MSDS required.

Limitations

This antibody is available for research use only and is not approved for use in diagnosis.

Supplied as

200ug/ml of Ab Purified from Bioreactor Concentrate by Protein A/G. Prepared in 10mM PBS with 0.05% BSA & 0.05% azide. Also available WITHOUT BSA & azide at 1.0mg/ml.

Warranty

There are no warranties, expressed or implied, which extend beyond this description. Company is not liable for any personal injury or economic loss resulting from this product.

Reviews

There are no reviews yet.

Be the first to review “CD72 (B Cell Marker) Antibody”

Your email address will not be published. Required fields are marked *

PARTNERSHIP OPPORTUNITIES

NeoBiotechnologies holds Exclusive rights to 10,000 recombinant and hybridoma antibody products, available for Licensing or Collaboration.

LETS TALK