
Formalin-fixed, paraffin-embedded human Tonsil stained with CD61 Mouse Monoclonal Antibody (ITGB3/2145).

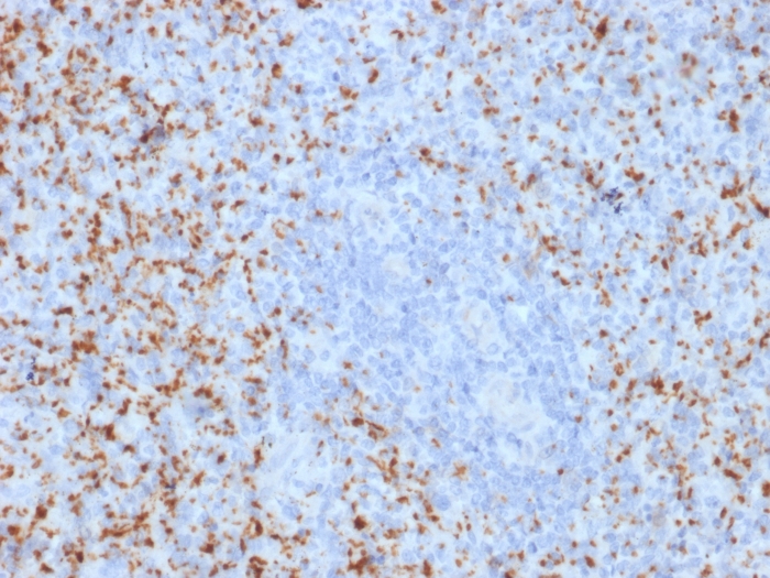
Formalin-fixed, paraffin-embedded human Spleen stained with CD61 Mouse Monoclonal Antibody (ITGB3/2145).
Reacts with human integrin beta3 (GPIIIa, vitronectin receptor beta chain). It associates with the IIb-chain (CD41) to form the GpIIb/GpIIIa complex (CD41/CD61).The CD41/CD61 complex appears early in megakaryocyte maturation. The activated CD41/CD61 complex is a receptor for von Willebrand factor, soluble fibrinogen, fibronectin, vitronectin and thrombospondin. It plays a central role in platelet activation and aggregation. The CD51/CD61 is implicated in tumor metastasis and adenoviral infection. The antibody detects platelets in smears of blood and bone marrow, as well as megakaryocytes in frozen sections and cell smears. The antibody is useful for classification of megakaryoblastic leukemia.
There are no reviews yet.