CD50 / ICAM3 Antibody [ICAM3/1019]

In Stock
Catalog Number Formulation Size Price
3385-MSM4-P0
Purified Ab with BSA and Azide at 200ug/ml
20ug
$259.00
3385-MSM4-P1
Purified Ab with BSA and Azide at 200ug/ml
100ug
$559.00
3385-MSM4-P1ABX
Purified Ab WITHOUT BSA and Azide at 1.0mg/ml
100ug
$559.00
Flat Rate Domestic: $95 | Orders outside the US - Contact Us for Order Information | Ships next business day

Applications & Dilutions

Applications Tested Dillution Protocol Note
Flow Cytometry (Flow)
1-2ug/million cells
Immunofluorescence (IF)
1-3ug/ml
Immunohistochemistry (IHC)
1-2ug/ml
30 min at RT. Staining of formalin-fixed tissues requires heating tissue sections in 10mM Tris with 1mM EDTA, pH 9.0, for 45 min at 95°C followed by cooling at RT for 20 minutes
Western Blot (WB)
2-4ug/ml

Summary

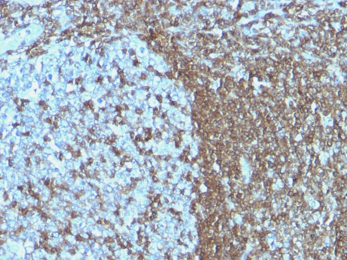
Recognizes an N-glycosylated glycoprotein of 120kDa with intra-chain disulfide bonds, identified as CD50 or ICAM-3. CD50 is the major ligand for LFA-1 (CD11a/CD18) and may have signaling role to increase adhesion. It is expressed on thymocytes and T lymphocytes and is resistant to treatment with phosphatidylinositol (PI) phospholipase C. This MAb is excellent for staining of formalin/paraffin tissues.

Product Properties & Targets

Antibody Type
Host
Mouse
Species Reactivity
Isotype / Light Chain
IgG2b / Kappa
Cellular Localization
Membrane
Gene Name
Positive Control
HL-60 or THP-1 cells. Lymph node and tonsil.
Immunogen
Recombinant human ICAM3 protein
Alternate Names
Intercellular adhesion molecule 3, CDw50, ICAM-R, ICAMR; Intercellular adhesion molecule 3 (ICAM3)

Database Links

Entrez Gene ID
SwissProt

Additional Information

Clone
ICAM3/1019
Chromosome Location
19p13.2
Mol. Weight of Antigen
110-160kDa

Functions

  • ICAM proteins are ligands for the leukocyte adhesion protein LFA-1 (integrin alpha-L/beta-2) (PubMed:1448173). ICAM3 is also a ligand for integrin alpha-D/beta-2. In association with integrin alpha-L/beta-2, contributes to apoptotic neutrophil phagocytosis by macrophages (PubMed:23775590).

Key References

  • Fawcett, J., Holness, C.L., Needham, L.A., Turley, H., Gatter, K.C., Mason, D.Y. and Simmons, D.L. 1992. Molecular cloning of ICAM-3, a third ligand for LFA-1, constitutively expressed on resting leukocytes. Nature 360:481-484.

Storage & Stability

Antibody with azide - store at 2 to 8°C. Antibody without azide - store at -20 to -80°C. Antibody is stable for 24 months. Non-hazardous. No MSDS required.

Limitations

This antibody is available for research use only and is not approved for use in diagnosis.

Supplied as

200ug/ml of Ab Purified from Bioreactor Concentrate by Protein A/G. Prepared in 10mM PBS with 0.05% BSA & 0.05% azide. Also available WITHOUT BSA & azide at 1.0mg/ml.

Warranty

There are no warranties, expressed or implied, which extend beyond this description. Company is not liable for any personal injury or economic loss resulting from this product.

Reviews

There are no reviews yet.

Be the first to review “CD50 / ICAM3 Antibody”

Your email address will not be published. Required fields are marked *

PARTNERSHIP OPPORTUNITIES

NeoBiotechnologies holds Exclusive rights to 10,000 recombinant and hybridoma antibody products, available for Licensing or Collaboration.

LETS TALK