CD5 (Mantle Cell Lymphoma Marker) Antibody [C5/473]

In Stock
Catalog Number Formulation Size Price
921-MSM1-P0
Purified Ab with BSA and Azide at 200ug/ml
20ug
$259.00
921-MSM1-P1
Purified Ab with BSA and Azide at 200ug/ml
100ug
$559.00
921-MSM1-P1ABX
Purified Ab WITHOUT BSA and Azide at 1.0mg/ml
100ug
$559.00
Flat Rate Domestic: $95 | Orders outside the US - Contact Us for Order Information | Ships next business day

Applications & Dilutions

Applications Tested Dillution Protocol Note
Immunohistochemistry (IHC)
1-2ug/ml
30 min at RT. Staining of formalin-fixed tissues requires heating tissue sections in 10mM Tris with 1mM EDTA, pH 9.0, for 45 min at 95°C followed by cooling at RT for 20 minutes

Summary

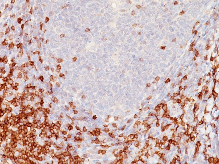
Recognizes a 67kDa transmembrane protein, which is identified as CD5. The CD5 antigen is found on 95% of thymocytes and 72% of peripheral blood lymphocytes. In lymph nodes, the main reactivity is observed in T cell areas. Anti-CD5 is a pan T-cell marker that also reacts with a range of neoplastic B-cells, e.g. chronic lymphocytic leukemia/small lymphocytic lymphoma (CLL/SLL), mantle cell lymphoma, and a subset (~10%) of diffuse large B-cell lymphoma. CD5 aberrant expression is useful in making a diagnosis of mature T-cell neoplasms. Anti-CD5 detection is diagnostic in CLL/SLL within a panel of other B-cell markers, especially one that includes anti-CD23. Anti-CD5 is also very useful in differentiating among mature small lymphoid cell malignancies. In addition, anti-CD5 can be used in distinguishing thymic carcinoma (+) from thymoma (-). Anti-CD5 does not react with granulocytes or monocytes.

Product Properties & Targets

Antibody Type
Host
Mouse
Applications
Species Reactivity
Isotype / Light Chain
IgG1 / Kappa
Cellular Localization
Cell membrane
Gene Name
CD5
Positive Control
293T, Ramos or MOLT-4 cells. Human tonsil.
Immunogen
Recombinant fragment (around aa450-495) of human CD5 protein.
Alternate Names
T-cell surface glycoprotein CD5, Lymphocyte antigen T1/Leu-1, CD5 antigen (p56 62), LEU1, Ly12, LyA, Lymphocyte antigen T1/Leu-1, Lymphocyte glycoprotein T1/Leu1, T-cell surface glycoprotein CD5

Database Links

Entrez Gene ID
921
SwissProt

Additional Information

Clone
C5/473
Chromosome Location
11q12.2
Mol. Weight of Antigen
~67kDa

Functions

  • May act as a receptor in regulating T-cell proliferation.

Key References

  • Ferry JA et. al. American Journal of Clinical Pathology, 1996, 105(1):31-7.
  • Gagneten D et. al. Diagnostic Cytopathology, 1996, 14(1):32-7.

Storage & Stability

Antibody with azide - store at 2 to 8 °C. Antibody without azide - store at -20 to -80 °C. Antibody is stable for 24 months. Non-hazardous. No MSDS required.

Limitations

This antibody is available for research use only and is not approved for use in diagnosis.

Supplied as

200ug/ml of Ab purified from Bioreactor Concentrate by Protein A/G. Prepared in 10mM PBS with 0.05% BSA & 0.05% azide. Also available WITHOUT BSA & azide at 1.0mg/ml.

Warranty

There are no warranties, expressed or implied, which extend beyond this description. Company is not liable for any personal injury or economic loss resulting from this product.

Reviews

There are no reviews yet.

Be the first to review “CD5 (Mantle Cell Lymphoma Marker) Antibody”

Your email address will not be published. Required fields are marked *

PARTNERSHIP OPPORTUNITIES

NeoBiotechnologies holds Exclusive rights to 10,000 recombinant and hybridoma antibody products, available for Licensing or Collaboration.

LETS TALK