
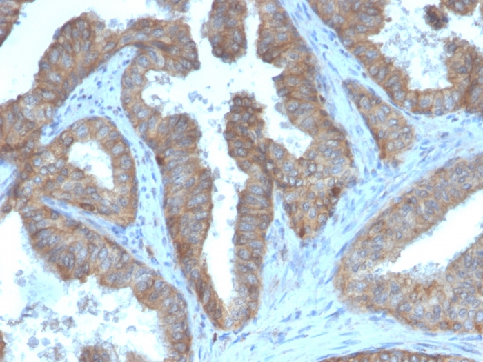
Formalin-fixed, paraffin-embedded human prostate carcinoma stained with CD47 Mouse Monoclonal Antibody (IAP/3019).

Formalin-fixed, paraffin-embedded human prostate carcinoma stained with CD47 Mouse Monoclonal Antibody (IAP/3019).

SDS-PAGE Analysis Purified CD47 Mouse Monoclonal Antibody (IAP/3019). Confirmation of Integrity and Purity of Antibody.

Flow Cytometric Analysis of PFA-fixed MCF-7 cells using CD47 Mouse Monoclonal Antibody (IAP/3019) followed by goat anti-mouse IgG-CF488 (blue); isotype control (red).

Immunofluorescence staining of PFA-fixed MCF-7 cells. CD47 Mouse Monoclonal Antibody (IAP/3019) followed by goat anti-mouse IgG-CF488 (green). Nuclei are stained with RedDot.

Analysis of Protein Array containing more than 19,000 full-length human proteins using CD47 Mouse Monoclonal Antibody (CD47/3019) Z- and S- Score: The Z-score represents the strength of a signal that a monoclonal antibody (MAb) (in combination with a fluorescently-tagged anti-IgG secondary antibody) produces when binding to a particular protein on the HuProtTM array. Z-scores are described in units of standard deviations (SD's) above the mean value of all signals generated on that array. If targets on HuProtTM are arranged in descending order of the Z-score, the S-score is the difference (also in units of SD's) between the Z-score. S-score therefore represents the relative target specificity of a MAb to its intended target. A MAb is considered to specific to its intended target, if the MAb has an S-score of at least 2.5. For example, if a MAb binds to protein X with a Z-score of 43 and to protein Y with a Z-score of 14, then the S-score for the binding of that MAb to protein X is equal to 29.
This antibody reacts with Ig domain of CD47 protein. CD47, originally named integrin-associated protein (IAP), is a 50kDa protein containing five membrane-spanning sequences and a short cytoplasmic tail. CD47 plays a role in both cell adhesion by acting as an adhesion receptor for THBS1 on platelets, and in the modulation of integrins. It is important in memory formation and synaptic plasticity in the hippocampus. CD47 may play a role in membrane transport and/or integrin dependent signal transduction.
There are no reviews yet.