
Formalin-fixed, paraffin-embedded human breast stained with CD44 Recombinant Mouse Monoclonal Antibody (rHCAM/6449).

IHC analysis of formalin-fixed, paraffin-embedded human brain. Negative tissue control using rHCAM/6449 at 2ug/ml in PBS for 30min RT. HIER: Tris/EDTA, pH9.0, 45min. 2°C: HRP-polymer, 30min. DAB, 5min.

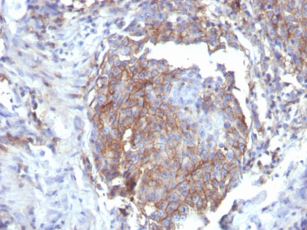
Formalin-fixed, paraffin-embedded human esophagus stained with CD44 Recombinant Mouse Monoclonal Antibody (rHCAM/6449).

SDS-PAGE Analysis of Purified CD44 Recombinant Mouse Monoclonal Antibody (rHCAM/6449). Confirmation of Purity and Integrity of Antibody.
Recognizes a cell surface glycoprotein of 80-95kDa (CD44) on lymphocytes, monocytes, and granulocytes (Leucocyte Typing Workshop V). Its epitope is resistant to digestion by trypsin and chymotrypsin. This MAb selectively interferes with lymphocyte binding to lymph node, mucosal and synovial endothelium. The CD44 family of glycoproteins exists in a number of variant isoforms, the most common being the standard 85-95kDa or hematopoietic variant (CD44s). Higher molecular weight isoforms are described in epithelial cells (CD44v), which are believed to function in intercellular adhesion and stromal binding. CD44 immunostaining is commonly used for the discrimination of urothelial transitional cell carcinoma in-situ from non-neoplastic changes in the urothelium.
There are no reviews yet.