
Formalin-fixed, paraffin-embedded human spleen stained with CD22 Recombinant Mouse Monoclonal Antibody (rBLCAM/4108).

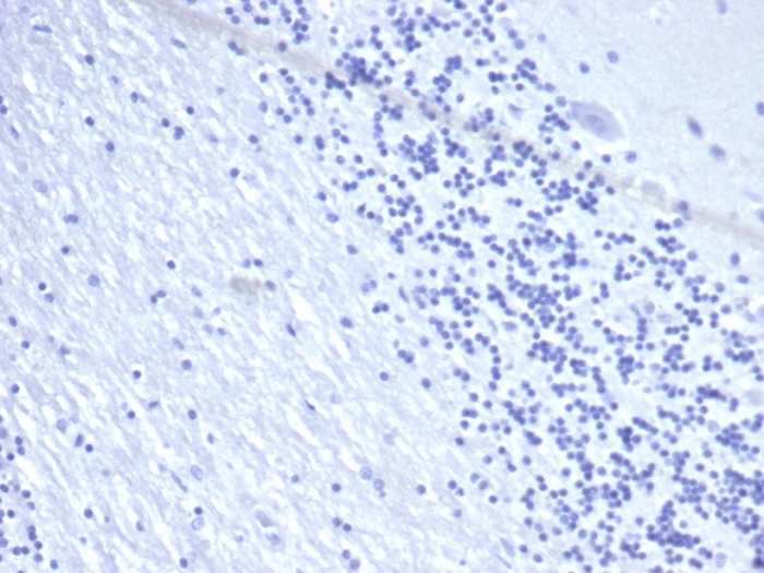
IHC analysis of formalin-fixed, paraffin-embedded human brain. Negative tissue control using rBLCAM/4108 at 2ug/ml in PBS for 30min RT. HIER: Tris/EDTA, pH9.0, 45min. 2°C: HRP-polymer, 30min. DAB, 5min.

SDS-PAGE Analysis of Purified CD22 Recombinant Mouse Monoclonal Antibody (rBLCAM/4108). Confirmation of Purity and Integrity of Antibody.
Recognizes a protein of 130-140kDa, identified as CD22 (also known as BL-CAM). CD22 expression is restricted to normal and neoplastic B cells and is absent from other haemopoietic cell types. In B-cell ontogeny, CD22 is first expressed in the cytoplasm of pro-B and pre-B cells, and on the surface as B cells mature to become IgD+. It is not expressed by plasma cells, CD22 is found highly expressed in follicular mantle and marginal zone B-cells, and while germinal center B-cells are relatively weak. CD22 is a member of the immunoglobulin superfamily and serves as an adhesion receptor for sialic acid-bearing ligands expressed on erythrocytes and all leukocyte classes. It also associates with tyrosine kinases and play a role in signal transduction and B-cell activation.
There are no reviews yet.