
SDS-PAGE Analysis of Purified CD138 Mouse Monoclonal Antibody (SDC1/7178). Confirmation of Purity and Integrity of Antibody.

Formalin-fixed, paraffin-embedded human tonsil stained with CD138 Mouse Monoclonal Antibody (SDC1/7178). HIER: Tris/EDTA, pH9.0, 45min. 2°C: HRP-polymer, 30min. DAB, 5min.

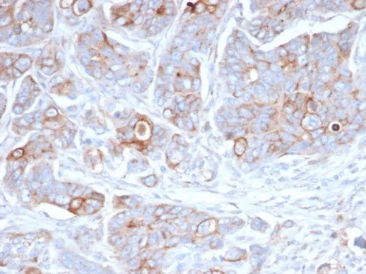
Formalin-fixed, paraffin-embedded human ovarian carcinoma stained with CD138 Mouse Monoclonal Antibody (SDC1/7178). HIER: Tris/EDTA, pH9.0, 45min. 2°C: HRP-polymer, 30min. DAB, 5min.

Analysis of HuProt™ Protein Array (21,000+ full-length human proteins) with CD138 Mouse Monoclonal Antibody (SDC1/7178). Z-score: Signal strength (in SD above the mean) of antibody binding to each protein. S-score: Difference in Z-scores between the top target and the next best hit, indicating relative specificity. An antibody is considered specific if S ≥ 2.5. Example: Binding to protein X (Z = 43) vs protein Y (Z = 14) → S = 29.
CD138, also designated syndecan-1, is a member of the syndecan family of four transmembrane spanning proteins capable of binding to heparan sulfate and chondroitin sulfate molecules. The syndecans main functions are to control cell growth and differentiation as well as to maintain cell adhesion and cell migration. Under normal conditions CD138 is predominantly expressed on mature plasma cells and early preB-cells, while other haematolymphoid cells are negative. Various types of epithelial cells are also CD138 positive. Squamous epithelial cells show strong membranous and some cytoplasmic staining, except for the mature superficial squamous epithelial cells which are unstained. Mature mesenchymal and neural tissues are not stained. Among haematolymphoid neoplasms, CD138 is expressed in practically all cases of plasma cell malignancies. Among non-haematolymphoid neoplasms the expression of CD138 is found in various types of carcinoma.
There are no reviews yet.