CA19-9/Sialyl Lewisa (GI Tumor Marker) Antibody [121SLE]

In Stock
Best Seller
Catalog Number Formulation Size Price
MSM1-25-P0
Purified Ab with BSA and Azide at 200ug/ml
20ug
$259.00
MSM1-25-P1
Purified Ab with BSA and Azide at 200ug/ml
100ug
$559.00
MSM1-25-P1BX
Purified Ab WITHOUT BSA at 1.0mg/ml
100ug
$559.00
Flat Rate Domestic: $95 | Orders outside the US - Contact Us for Order Information | Ships next business day

Applications & Dilutions

Applications Tested Dillution Protocol Note
Immunohistochemistry (IHC)
1-2ug/ml
30 min at RT. Staining of formalin-fixed tissues requires heating tissue sections in 10mM Tris with 1mM EDTA, pH 9.0, for 45 min at 95°C followed by cooling at RT for 20 minutes

Summary

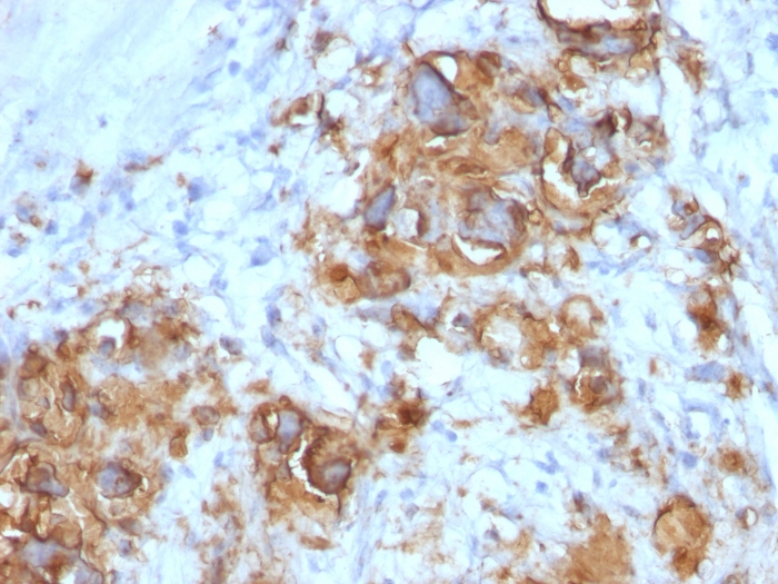
CA19-9, a carbohydrate epitope expressed on a high MW (400kDa) mucin glycoprotein, is a sialyl Lewisa structure which is synthesized from type 1 blood group precursor chains and is present in individuals expressing the Lewisa and/or Lewisb blood group antigens. In normal tissues, sialyl Lewisa antigen is present in ductal epithelium of the breast, kidney, salivary gland, and sweat glands. Its expression is greatly enhanced in serum as well as in the majority of tumor cells in gastrointestinal (GI) carcinomas, including adenocarcinomas of the stomach, intestine, and pancreas. Preoperative elevated CA19-9 levels in patients with stage I pancreatic carcinoma decrease to normal values following surgery. When used serially, CA19-9 can predict recurrence of disease prior to radiographic or clinical findings. This MAb is excellent for staining of formalin-fixed, paraffin-embedded tissues.

Product Properties & Targets

Antibody Type
Host
Mouse
Applications
Species Reactivity
Isotype / Light Chain
IgM / Kappa
Cellular Localization
N/A
Gene Name
N/A
Positive Control
Stomach or Colon Carcinoma.
Immunogen
Precipitin lines obtained after immuno-diffusion using MAb 116-NS-19-9 and mucins isolated from an ovarian cyst of a Lewis A+B- patient (0Le).
Alternate Names
N/A, N/A, CA19.9, Ovarian tumor antigen, Pancreatic tumor antigen, Sialyl Lewis a

Database Links

Entrez Gene ID
SwissProt
N/A

Additional Information

Clone
121SLE
Mol. Weight of Antigen
>400kDa

Functions

  • N/A

Key References

  • Blood transfusion and Immunohaematology, Ph. Rouger, D Anstee and Ch. Salmon (Eds). Arnette, France 30 (5): 353-720 (1987).
  • Tumor Biol 19(5): 390420, (1998; TD-6 Workshop Report).

Storage & Stability

Antibody with azide - store at 2 to 8°C. Antibody without azide - store at -20 to -80°C. Antibody is stable for 24 months. Non-hazardous. No MSDS required.

Limitations

This antibody is available for research use only and is not approved for use in diagnosis.

Supplied as

200ug/ml of Ab Purified from Bioreactor Concentrate. Prepared in 10mM PBS with 0.05% BSA & 0.05% azide. Also available WITHOUT BSA at 1.0mg/ml.

Warranty

There are no warranties, expressed or implied, which extend beyond this description. Company is not liable for any personal injury or economic loss resulting from this product.

Reviews

There are no reviews yet.

Be the first to review “CA19-9/Sialyl Lewisa (GI Tumor Marker) Antibody”

Your email address will not be published. Required fields are marked *

PARTNERSHIP OPPORTUNITIES

NeoBiotechnologies holds Exclusive rights to 10,000 recombinant and hybridoma antibody products, available for Licensing or Collaboration.

LETS TALK