
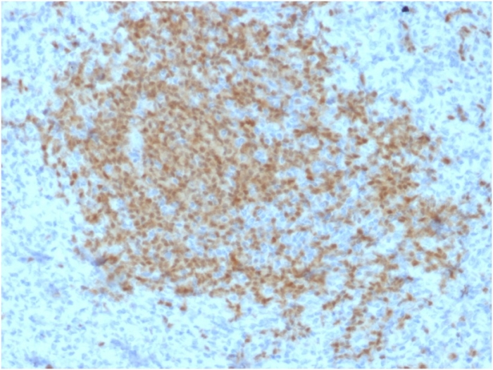
Formalin-fixed, paraffin-embedded human Spleen stained with BOB1 Mouse Monoclonal Antibody (BOB1/2423).

SDS-PAGE Analysis of Purified BOB1 Mouse Monoclonal Antibody (BOB1/2423). Confirmation of Integrity and Purity of Antibody.

Analysis of Protein Array containing more than 19,000 full-length human proteins using BOB1 Mouse Monoclonal Antibody (BOB1/2423). Z- and S- Score: The Z-score represents the strength of a signal that a monoclonal antibody (Monoclonal Antibody) (in combination with a fluorescently-tagged anti-IgG secondary antibody) produces when binding to a particular protein on the HuProtTM array. Z-scores are described in units of standard deviations (SD's) above the mean value of all signals generated on that array. If targets on HuProtTM are arranged in descending order of the Z-score, the S-score is the difference (also in units of SD's) between the Z-score. S-score therefore represents the relative target specificity of a Monoclonal Antibody to its intended target. A Monoclonal Antibody is considered to specific to its intended target, if the Monoclonal Antibody has an S-score of at least 2.5. For example, if a Monoclonal Antibody binds to protein X with a Z-score of 43 and to protein Y with a Z-score of 14, then the S-score for the binding of that Monoclonal Antibody to protein X is equal to 29.
BOB.1 expression in a variety of established B-cell lines, representing different stages of B-cell development, has suggested a constitutive, B-cell-specific expression pattern. LP cells in nodular lymphocyte predominant Hodgkin lymphoma, because they are germinal center-derived, are consistently immuno-positive for BOB.1. Conversely, only some cases of classical Hodgkin lymphoma show BOB.1 immuno-reactivity within the Hodgkin and Reed-Sternberg cells.Expression of BOB.1 has been reported in follicular center cell lymphoma, diffuse large B-cell lymphoma and some cases of acute myeloid leukemia.B-CLL, marginal zone lymphoma, and mantle cell lymphoma may show weak to moderate immunoreactivity.
There are no reviews yet.