
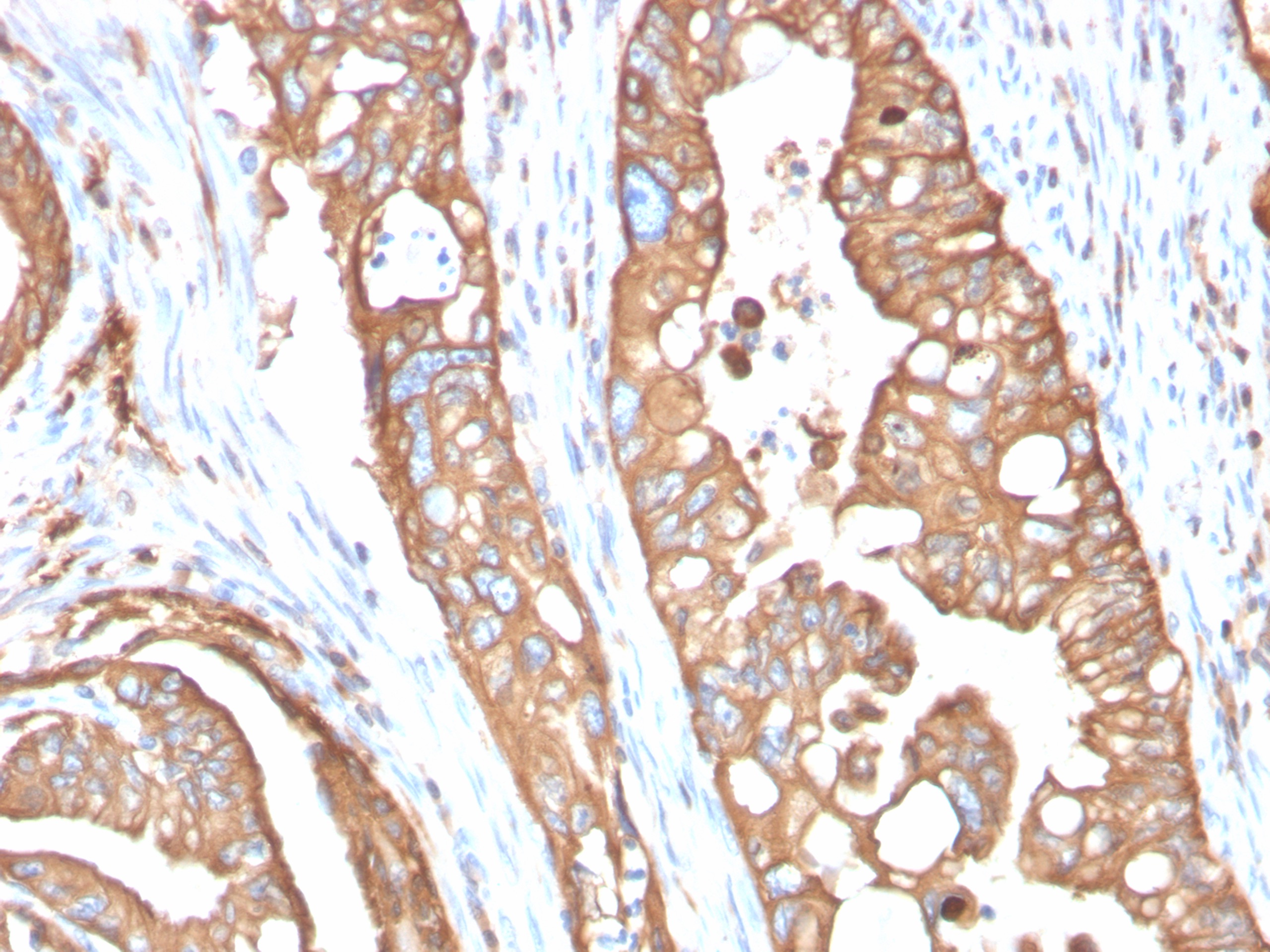
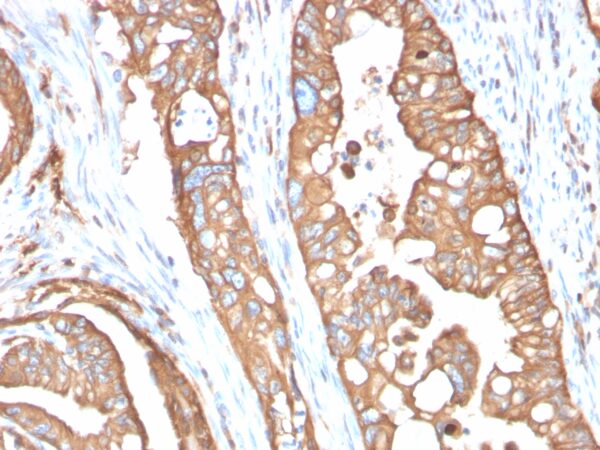
Formalin-fixed, paraffin-embedded human small intestine stained with Aquaporin (AQP4) Mouse Monoclonal Antibody (AQP4/3321). HIER: Tris/EDTA, pH9.0, 45min. 2 °: HRP-polymer, 30min. DAB, 5min.

SDS-PAGE Analysis of Purified Aquaporin (AQP4) Mouse Monoclonal Antibody (AQP4/3321). Confirmation of Purity and Integrity of Antibody.

Analysis of Protein Array containing more than 19,000 full-length human proteins using Aquaporin (AQP4) Mouse Monoclonal Antibody (AQP4/3321). Z- and S- Score: The Z-score represents the strength of a signal that a monoclonal antibody (MAb) (in combination with a fluorescently-tagged anti-IgG secondary antibody) produces when binding to a particular protein on the HuProtTM array. Z-scores are described in units of standard deviations (SD's) above the mean value of all signals generated on that array. If targets on HuProtTM are arranged in descending order of the Z-score, the S-score is the difference (also in units of SD's) between the Z-score. S-score therefore represents the relative target specificity of a MAb to its intended target. A MAb is considered to specific to its intended target, if the MAb has an S-score of at least 2.5. For example, if a MAb binds to protein X with a Z-score of 43 and to protein Y with a Z-score of 14, then the S-score for the binding of that MAb to protein X is equal to 29.
In skeletal muscle, AQP4 (aquaporin 4 also known as mercurial insensitive water channel), localizes to the sarcolemma of fast-twitch muscle fibers. Aquaporins (AQPs) are a large family of integral membrane water transport channel proteins that facilitate the transport of water through the cell membrane. This function is conserved in animals, plants and bacteria. Many isoforms of aquaporin have been identified in mammals, designated AQP0through AQP10. Aquaporins are widely distributed and it is not uncommon for more than one type of AQP to be present in the same cell. Although most aquaporins are only permeable to water, AQP3, AQP7, AQP9 and one of the two AQP10 transcripts are also permeable to urea and glycerol. AQP2 is the only water channel that is activated by vasopressin to enhance water reabsorption in the kidney collecting duct. Aquaporins are involved in renal water absorption, generation of pulmonary secretions, lacrimation and the secretion and reabsorption of cerebrospinal fluid and aqueous humor.
There are no reviews yet.