
Formalin-fixed, paraffin-embedded human Placenta stained with Annexin A1 Mouse Monoclonal Antibody (CPTC-ANXA1-1).

SDS-PAGE Analysis of Purified Annexin A1 Mouse Monoclonal Antibody (CPTC-ANXA1-1). Confirmation of Purity and Integrity of Antibody.

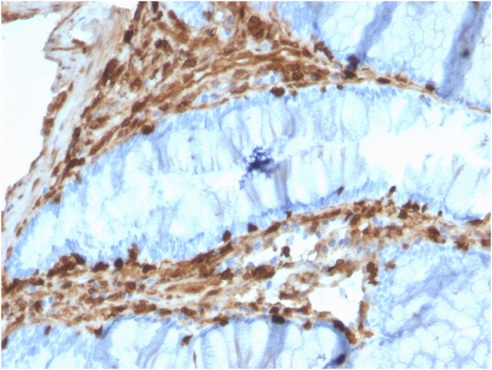
Formalin-fixed, paraffin-embedded human Colon Carcinoma stained with Annexin A1 Mouse Monoclonal Antibody (CPTC-ANXA1-1).

Western Blot Analysis of human A549 cell lysate using Annexin A1 Mouse Monoclonal Antibody (CPTC-ANXA1-1).
The ANXA1 gene belongs to the annexin family, and contains 4 annexin repeats. A pair of annexin repeats may form one binding site for calcium and a phospholipid. ANXA1 promotes membrane fusion and is involved in exocytosis. The gene for ANXA1 is upregulated in hairy cell leukemia (HCL), and its protein expression is specific for HCL. Detection of ANXA1 provides a simple, highly sensitive and specific assay for diagnosing HCL. Annexin A1 has also been found to be protective against DNA damage induced by heat in breast cancer cells, suggesting it is involved in tumor suppressive and protective activities, and also is associated with treatment resistance.
There are no reviews yet.