Angiotensin I Converting Enzyme (ACE) / CD143 Antibody [ACE/3762]

In Stock
Catalog Number Formulation Size Price
1636-MSM2-P0
Purified Ab with BSA and Azide at 200ug/ml
20ug
$259.00
1636-MSM2-P1
Purified Ab with BSA and Azide at 200ug/ml
100ug
$559.00
1636-MSM2-P1ABX
Purified Ab WITHOUT BSA and Azide at 1.0mg/ml
100ug
$559.00
Flat Rate Domestic: $95 | Orders outside the US - Contact Us for Order Information | Ships next business day

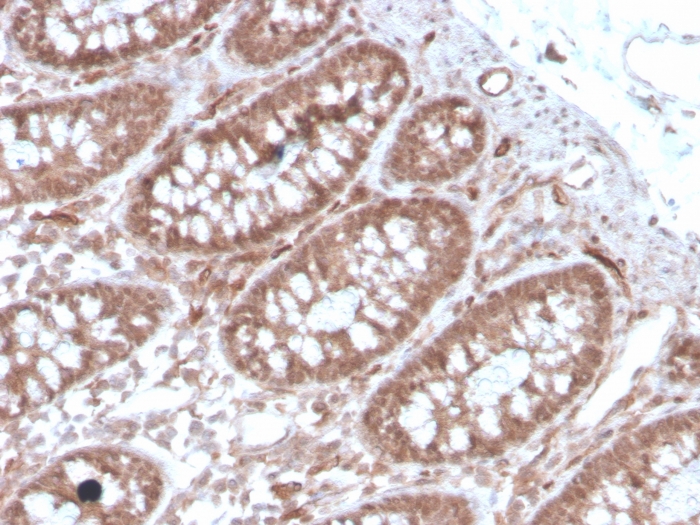
Applications & Dilutions

Applications Tested Dillution Protocol Note
Immunohistochemistry (IHC)
1-2ug/ml
30 min at RT. Staining of formalin-fixed tissues requires heating tissue sections in 10mM Tris with 1mM EDTA, pH 9.0, for 45 min at 95°C followed by cooling at RT for 20 minutes
Western Blot (WB)
2-4ug/ml

Summary

This gene encodes an enzyme involved in catalyzing the conversion of angiotensin I into a physiologically active peptide angiotensin II. Angiotensin II is a potent vasopressor and aldosterone-stimulating peptide that controls blood pressure and fluid-electrolyte balance. This enzyme plays a key role in the renin-angiotensin system. Many studies have associated the presence or absence of a 287 bp Alu repeat element in this gene with the levels of circulating enzyme or cardiovascular pathophysiologies. Two most abundant alternatively spliced variants of this gene encode two isozymes – the somatic form and the testicular form that are equally active. Multiple additional alternatively spliced variants have been identified but their full length nature has not been determined.

Product Properties & Targets

Antibody Type
Host
Mouse
Species Reactivity
Isotype / Light Chain
IgG2c / Kappa
Cellular Localization
Cell membrane, Cytoplasm, Secreted
Gene Name
ACE
Positive Control
gastrointestinal system and prostate., Heart, Kidney, Ubiquitously expressed, with highest levels in lung
Immunogen
Recombinant fragment (around aa 652-788) of human ACE/CD143 protein
Alternate Names
Angiotensin-converting enzyme, Dipeptidyl carboxypeptidase I, Kininase II, ACE; ACE1; angiotensin 1 converting enzyme 1; carboxycathepsin; CD143; CD143 antigen; DCP; DCP1; dipeptidyl carboxypeptidase 1; Kininase II; MVCD3; peptidase P; testicular ECA

Database Links

Entrez Gene ID
SwissProt

Additional Information

Clone
ACE/3762
Chromosome Location
17q23.3
Mol. Weight of Antigen
150kDa

Functions

  • Converts angiotensin I to angiotensin II by release of the terminal His-Leu, this results in an increase of the vasoconstrictor activity of angiotensin. Also able to inactivate bradykinin, a potent vasodilator. Has also a glycosidase activity which releases GPI-anchored proteins from the membrane by cleaving the mannose linkage in the GPI moiety.

Key References

  • Morell NW et al. Cardiovasc Res. 1997 May;34(2):393-403.

Storage & Stability

Antibody with azide - store at 2 to 8°C. Antibody without azide - store at -20 to -80°C. Antibody is stable for 24 months. Non-hazardous. No MSDS required.

Limitations

This antibody is available for research use only and is not approved for use in diagnosis.

Supplied as

200ug/ml of Ab purified from Bioreactor Concentrate by Protein A/G. Prepared in 10mM PBS with 0.05% BSA & 0.05% azide. Also available WITHOUT BSA & azide at 1.0mg/ml.

Warranty

There are no warranties, expressed or implied, which extend beyond this description. Company is not liable for any personal injury or economic loss resulting from this product.

Reviews

There are no reviews yet.

Be the first to review “Angiotensin I Converting Enzyme (ACE) / CD143 Antibody”

Your email address will not be published. Required fields are marked *

PARTNERSHIP OPPORTUNITIES

NeoBiotechnologies holds Exclusive rights to 10,000 recombinant and hybridoma antibody products, available for Licensing or Collaboration.

LETS TALK