AMBP (Alpha 1 Microglobulin) / Bikunin Antibody [AMBP/4536]

In Stock
Catalog Number Formulation Size Price
259-MSM6-P0
Purified Ab with BSA and Azide at 200ug/ml
20ug
$259.00
259-MSM6-P1
Purified Ab with BSA and Azide at 200ug/ml
100ug
$559.00
259-MSM6-P1ABX
Purified Ab WITHOUT BSA and Azide at 1.0mg/ml
100ug
$559.00
Flat Rate Domestic: $95 | Orders outside the US - Contact Us for Order Information | Ships next business day

Applications & Dilutions

Applications Tested Dillution Protocol Note
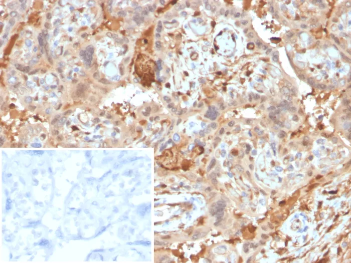
Immunohistochemistry (IHC)
1-2ug/ml
30 min at RT. Staining of formalin-fixed tissues requires heating tissue sections in 10mM Tris with 1mM EDTA, pH 9.0, for 45 min at 95°C followed by cooling at RT for 20 minutes

Summary

The AMBP (α-1-Microglobulin/Bikunin precursor) gene encodes a protein precursor, known as AMBP, that is cleaved to produce two distinct proteins, designated α-1-Microglobulin and Bikunin. α-1-Microglobulin, also known as protein HC, is a member of the lipocalin superfamily and is secreted mainly in plasma, urine and cerebrospinal fluid. Thought to have reductase/dehydrogenase activity, α-1-Microglobulin exhibits immunosuppressive properties, such as cytokine secretion and inhibition of antigen-induced lymphocyte cell proliferation, and may be involved in the reduction of biological pro-oxidants. The second protein cleavage product, designated Bikunin and also known as inter-α-trypsin inhibitor light chain, ITI-LC or urinary trypsin inhibitor, is a widely expressed protein that is stored in the granules of human connective tissue mast cells. One of many proteins in the Kunitz-type protease inhibitor family, Bikunin prevents autodigestion by exocrine enzymes, such as trypsinogen and chymo-trypsinogen, and plays a role in the antiinflammatory/antiproteinase immune response. Unlike α-1-Microglobulin, Bikunin is implicated in the pathogenesis of a number of renal diseases, such as urolithiasis.

Product Properties & Targets

Antibody Type
Host
Mouse
Applications
Species Reactivity
Research Areas
Isotype / Light Chain
IgG2 / Kappa
Cellular Localization
Secreted.
Gene Name
Positive Control
Human liver or placenta.
Immunogen
Recombinant fragment (around aa200-353) of human AMBP protein (exact sequence is proprietary)
Alternate Names
Protein AMBP | Alpha-1-microglobulin | Inter-alpha-trypsin inhibitor light chain | Trypstatin, Protein HC, Alpha-1 microglycoprotein, Complex-forming glycoprotein heterogeneous in charge, Bikunin, EDC1, HI-30, Uronic-acid-rich protein, A1M; Alpha 1 microglobulin/bikunin precursor; Alpha 1 microglycoprotein; Bikunin; Complex-forming glycoprotein heterogeneous in charge; EDC1; Growth inhibiting protein 19; HCP; HI30; IATIL; ITI; ITI-LC; ITIL; Microglobulin (alpha 1); Protein AMBP; Protein HC; Trypstatin; Uristatin; Uronic-acid-rich protein; UTI

Database Links

Entrez Gene ID
259
SwissProt

Additional Information

Clone
AMBP/4536
Chromosome Location
9q32
Mol. Weight of Antigen
30kDa

Functions

  • Antioxidant and tissue repair protein with reductase, heme-binding and radical-scavenging activities. Removes and protects against harmful oxidants and repairs macromolecules in intravascular and extravascular spaces and in intracellular compartments (PubMed:11877257, PubMed:15683711, PubMed:22096585, PubMed:23157686, PubMed:23642167, PubMed:25698971, PubMed:32823731, PubMed:32092412). Intravascularly, plays a regulatory role in red cell homeostasis by preventing heme- and reactive oxygen species-induced cell damage. Binds and degrades free heme to protect fetal and adult red blood cells from hemolysis (PubMed:11877257, PubMed:32092412). Reduces extracellular methemoglobin, a Fe3+ (ferric) form of hemoglobin that cannot bind oxygen, back to the Fe2+ (ferrous) form deoxyhemoglobin, which has oxygen-carrying potential (PubMed:15683711). Upon acute inflammation, inhibits oxidation of low-density lipoprotein particles by MPO and limits vascular damage (PubMed:25698971). Extravascularly, protects from oxidation products formed on extracellular matrix structures and cell membranes. Catalyzes the reduction of carbonyl groups on oxidized collagen fibers and preserves cellular and extracellular matrix ultrastructures (PubMed:23642167, PubMed:22096585). Importantly, counteracts the oxidative damage at blood-placenta interface, preventing leakage of free fetal hemoglobin into the maternal circulation (PubMed:21356557). Intracellularly, has a role in maintaining mitochondrial redox homeostasis. Bound to complex I of the respiratory chain of mitochondria, may scavenge free radicals and preserve mitochondrial ATP synthesis. Protects renal tubule epithelial cells from heme-induced oxidative damage to mitochondria (PubMed:23157686, PubMed:32823731). Reduces cytochrome c from Fe3+ (ferric) to the Fe2+ (ferrous) state through formation of superoxide anion radicals in the presence of ascorbate or NADH/NADPH electron donor cofactors, ascorbate being the preferred cofactor (PubMed:15683711). Has a chaperone role in facilitating the correct folding of bikunin in the endoplasmic reticulum compartment (By similarity).
  • Kunitz-type serine protease inhibitor and structural component of extracellular matrix with a role in extracellular space remodeling and cell adhesion (PubMed:25301953, PubMed:20463016). Among others, has antiprotease activity toward kallikrein, a protease involved in airway inflammation; inhibits GZMK/granzyme, a granule-stored serine protease involved in NK and T cell cytotoxic responses; and inhibits PLG/plasmin, a protease required for activation of matrix metalloproteinases (PubMed:16873769, PubMed:10480954, PubMed:15917224). As part of I-alpha-I complex, provides for the heavy chains to be transferred from I-alpha-I complex to hyaluronan in the presence of TNFAIP6, in a dynamic process that releases free bikunin and remodels extracellular matrix proteoglycan structures. Free bikunin, but not its heavy chain-bound form, acts as potent protease inhibitor in airway secretions (PubMed:16873769). Part of hyaluronan-rich extracellular matrix that surrounds oocyte during cumulus oophorus expansion, an indispensable process for proper ovulation (By similarity). Also inhibits calcium oxalate crystallization (PubMed:7676539).
  • Kunitz-type serine protease inhibitor. Has high catalytic efficiency for F10/blood coagulation factor Xa and may act as an anticoagulant by inhibiting prothrombin activation. Inhibits trypsin and mast cell CMA1/chymase and tryptase proteases.

Key References

  • Itoh, H., et al. 1996. Expression of inter-α-trypsin inhibitor light chain (Bikunin) in human pancreas. J. Biochem. 120: 271-275.

PubMed Links

Storage & Stability

Antibody with azide - store at 2 to 8°C. Antibody without azide - store at -20 to -80°C.Antibody is stable for 24 months. Non-hazardous. No MSDS required.

Limitations

This antibody is available for research use only and is not approved for use in diagnosis.

Supplied as

200ug/ml of Ab purified from Bioreactor Concentrate by Protein A/G. Prepared in 10mM PBS with 0.05% BSA & 0.05% azide. Also available WITHOUT BSA & azide at 1.0mg/ml.

Warranty

There are no warranties, expressed or implied, which extend beyond this description. Company is not liable for any personal injury or economic loss resulting from this product.

Reviews

There are no reviews yet.

Be the first to review “AMBP (Alpha 1 Microglobulin) / Bikunin Antibody”

Your email address will not be published. Required fields are marked *

PARTNERSHIP OPPORTUNITIES

NeoBiotechnologies holds Exclusive rights to 10,000 recombinant and hybridoma antibody products, available for Licensing or Collaboration.

LETS TALK