Transgelin (SM22-alpha) Antibody [TAGLN/247]

In Stock
Catalog Number Formulation Size Price
6876-MSM1-P0
Purified Ab with BSA and Azide at 200ug/ml
20ug
$259.00
6876-MSM1-P1
Purified Ab with BSA and Azide at 200ug/ml
100ug
$559.00
6876-MSM1-P1ABX
Purified Ab WITHOUT BSA at 1.0mg/ml
100ug
$559.00
Flat Rate Domestic: $95 | Orders outside the US - Contact Us for Order Information | Ships next business day

Applications & Dilutions

Applications Tested Dillution Protocol Note
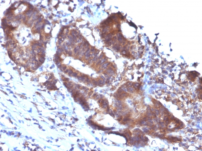
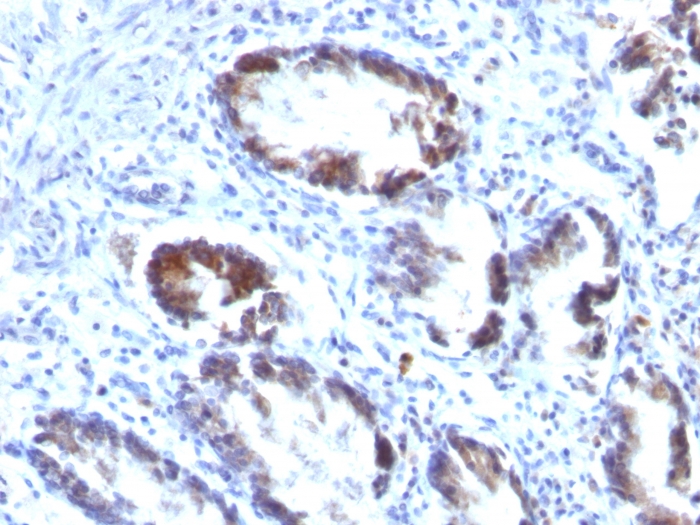
Immunohistochemistry (IHC)
1-2ug/ml
30 min at RT. Staining of formalin-fixed tissues requires heating tissue sections in 10mM Tris with 1mM EDTA, pH 9.0, for 45 min at 95°C followed by cooling at RT for 20 minutes

Summary

This MAb recognizes a 22kDa protein, identified as Transgelin, also designated SM22-alpha. It may cross-react with SM22-beta. Transgelin is expressed abundantly in smooth muscle cells. The human transgelin gene encodes a 201 amino acid protein that contains nuclear factor-binding motifs known to regulate transcription in smooth muscle. During embryogenesis, transgelin is expressed in smooth, cardiac and skeletal muscle, but is restricted during late fetal development and adulthood to all vascular and visceral smooth muscle cells and low levels of expression in heart. Transgelin is down regulated in several transformed cell lines, indicating that a reduction of transgelin expression may be an early indicator of the onset of transformation. Transgelin also binds Actin, causing Actin fibers to gel within minutes of binding. Binding of transgelin to Actin occurs at a ratio of 1:6 Actin monomers.

Product Properties & Targets

Antibody Type
Host
Mouse
Applications
Species Reactivity
Isotype / Light Chain
IgG1 / Kappa
Cellular Localization
Cytoplasm
Gene Name
Positive Control
Hs68 or WI 38 cells. Colon carcinoma., U-2 OS
Immunogen
Recombinant full-length human transgelin (TAGLN) protein.
Alternate Names
Transgelin, 22 kDa actin-binding protein, Protein WS3-10, Smooth muscle protein 22-alpha, 2kDa actin-binding protein; Human 22kDa smooth muscle protein; Protein WS3-10; SMCC; Smooth muscle protein 22-alpha (SM22-alpha); TAGLN; TAGLN1; transgelin; Transgelin variant 2; WS3-10

Database Links

Entrez Gene ID
SwissProt

Additional Information

Clone
TAGLN/247
Chromosome Location
11q23.2
Mol. Weight of Antigen
22kDa

Functions

  • Actin cross-linking/gelling protein (By similarity). Involved in calcium interactions and contractile properties of the cell that may contribute to replicative senescence.

Key References

  • Shapland, C., et al. 1993. Purification and properties of transgelin: a transformation and shape change sensitive Actin-gelling protein. J. Cell Biol. 121: 1065-1073.

Storage & Stability

Antibody with azide - store at 2 to 8°C. Antibody without azide - store at -20 to -80°C. Antibody is stable for 24 months. Non-hazardous. No MSDS required.

Limitations

This antibody is available for research use only and is not approved for use in diagnosis.

Supplied as

200ug/ml of Ab Purified from Bioreactor Concentrate by Protein A/G. Prepared in 10mM PBS with 0.05% BSA & 0.05% azide. Also available WITHOUT BSA & azide at 1.0mg/ml.

Warranty

There are no warranties, expressed or implied, which extend beyond this description. Company is not liable for any personal injury or economic loss resulting from this product.

Reviews

There are no reviews yet.

Be the first to review “Transgelin (SM22-alpha) Antibody”

Your email address will not be published. Required fields are marked *

PARTNERSHIP OPPORTUNITIES

NeoBiotechnologies holds Exclusive rights to 10,000 recombinant and hybridoma antibody products, available for Licensing or Collaboration.

LETS TALK