SUMO-2 Antibody [SUMO2/1199]

In Stock
Catalog Number Formulation Size Price
6613-MSM2-P0
Purified Ab with BSA and Azide at 200ug/ml
20ug
$259.00
6613-MSM2-P1
Purified Ab with BSA and Azide at 200ug/ml
100ug
$559.00
6613-MSM2-P1ABX
Purified Ab WITHOUT BSA and Azide at 1.0mg/ml
100ug
$559.00
Flat Rate Domestic: $95 | Orders outside the US - Contact Us for Order Information | Ships next business day

Applications & Dilutions

Applications Tested Dillution Protocol Note
Flow Cytometry (Flow)
1-2ug/million cells
Immunofluorescence (IF)
1-3ug/ml
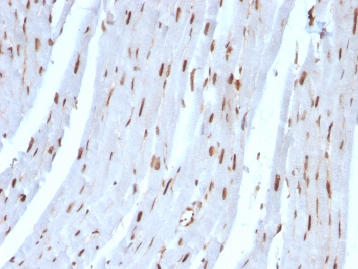
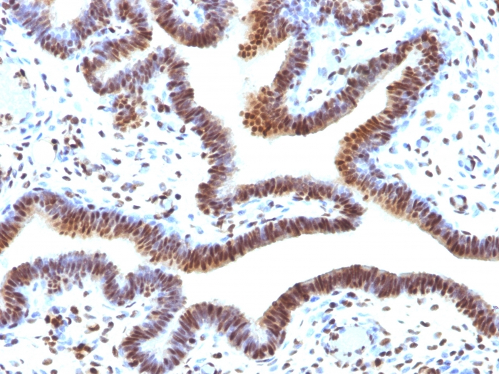
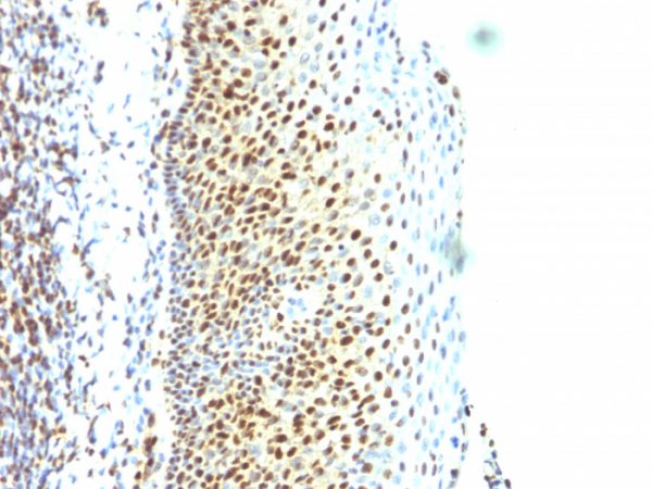
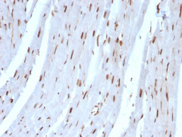
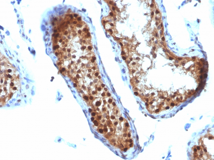
Immunohistochemistry (IHC)
1-2ug/ml
30 min at RT. Staining of formalin-fixed tissues requires heating tissue sections in 10mM Tris with 1mM EDTA, pH 9.0, for 45 min at 95°C followed by cooling at RT for 20 minutes

Summary

The small ubiquitin-related modifier (SUMO) proteins, which include SUMO-1, 2 and 3, belong to the ubiquitin-like protein family. Like ubiquitin, the SUMO proteins are synthesized as precursor proteins that undergo processing before conjugation to target proteins. Also, both utilize the E1, E2 and E3 cascade enzymes for conjugation. However, SUMO and ubiquitin differ with respect to targeting. Ubiquitination predominantly targets proteins for degradation, whereas sumoylation targets proteins to a variety of cellular processing, including nuclear transport, transcriptional regulation, apoptosis and protein stability. The unconjugated SUMO-1, 2 and 3 proteins localize to the nuclear membrane, nuclear bodies and cytoplasm, respectively. SUMO-1 utilizes Ubc9 for conjugation to several target proteins, which include MDM2, p53, PML and RanGap1. SUMO-2 and 3 contribute to a greater percentage of protein modification than does SUMO-1 and unlike SUMO-1, they can form polymeric chains. In addition, SUMO-3 regulates beta-Amyloid generation and may be critical in the onset or progression of Alzheimer’s disease.

Product Properties & Targets

Antibody Type
Host
Mouse
Species Reactivity
Isotype / Light Chain
IgG1 / Kappa
Cellular Localization
Cytoplasm, Nucleus, PML body
Gene Name
Positive Control
HeLa cells. Breast carcinoma.
Immunogen
Recombinant human SUMO2 protein
Alternate Names
Small ubiquitin-related modifier 3, SMT3 homolog 1, SUMO-2, Ubiquitin-like protein SMT3A, HSMT3; Sentrin 2; Small ubiquitin like modifier 2; Small ubiquitin like modifier protein 3; SMT3A; SMT3B; SMT3 homolog 1 (SMT3H1); SMT3 homolog 2 (SMT3H2); SMT3 homolog; SMT3 suppressor of mif two 3 homolog 1; SMT3 suppressor of mif two 3 homolog 2; SMT3 suppressor of mif two 3 homolog 3; Suppressor of mif two 3 homolog 2; Suppressor of mif two 3 homolog 3; Ubiquitin like protein SMT3A; Ubiquitin like protein SMT3B

Database Links

Entrez Gene ID
SwissProt

Additional Information

Clone
SUMO2/1199
Chromosome Location
17q25.1
Mol. Weight of Antigen
11-13kDa

Functions

  • Ubiquitin-like protein which can be covalently attached to target lysines either as a monomer or as a lysine-linked polymer. Does not seem to be involved in protein degradation and may function as an antagonist of ubiquitin in the degradation process. Plays a role in a number of cellular processes such as nuclear transport, DNA replication and repair, mitosis and signal transduction. Covalent attachment to its substrates requires prior activation by the E1 complex SAE1-SAE2 and linkage to the E2 enzyme UBE2I, and can be promoted by an E3 ligase such as PIAS1-4, RANBP2 or CBX4 (PubMed:11451954, PubMed:18538659, PubMed:21965678). Plays a role in the regulation of sumoylation status of SETX (PubMed:24105744).

Key References

Storage & Stability

Antibody with azide - store at 2 to 8°C. Antibody without azide - store at -20 to -80°C. Antibody is stable for 24 months. Non-hazardous. No MSDS required.

Limitations

This antibody is available for research use only and is not approved for use in diagnosis.

Supplied as

200ug/ml of Ab Purified from Bioreactor Concentrate by Protein A/G. Prepared in 10mM PBS with 0.05% BSA & 0.05% azide. Also available WITHOUT BSA & azide at 1.0mg/ml.

Warranty

There are no warranties, expressed or implied, which extend beyond this description. Company is not liable for any personal injury or economic loss resulting from this product.

Reviews

There are no reviews yet.

Be the first to review “SUMO-2 Antibody”

Your email address will not be published. Required fields are marked *

PARTNERSHIP OPPORTUNITIES

NeoBiotechnologies holds Exclusive rights to 10,000 recombinant and hybridoma antibody products, available for Licensing or Collaboration.

LETS TALK