
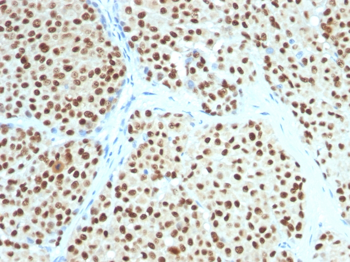
Formalin-fixed, paraffin-embedded human Melanoma stained with SOX10 Mouse Monoclonal Antibody (SOX10/991).

Western Blot Analysis of SOX10 (A) Recombinant protein (B) A375 cell lysate using SOX10 Mouse Monoclonal Antibody (SOX10/991).

Formalin-fixed, paraffin-embedded Mouse Brain stained with SOX10 Mouse Monoclonal Antibody (SOX10/991).

Analysis of Protein Array containing more than 19,000 full-length human proteins using SOX10 Mouse Monoclonal Antibody (SOX10/991) Z- and S- Score: The Z-score represents the strength of a signal that a monoclonal antibody (MAb) (in combination with a fluorescently-tagged anti-IgG secondary antibody) produces when binding to a particular protein on the HuProtTM array. Z-scores are described in units of standard deviations (SD's) above the mean value of all signals generated on that array. If targets on HuProtTM are arranged in descending order of the Z-score, the S-score is the difference (also in units of SD's) between the Z-score. S-score therefore represents the relative target specificity of a MAb to its intended target. A MAb is considered to specific to its intended target, if the MAb has an S-score of at least 2.5. For example, if a MAb binds to protein X with a Z-score of 43 and to protein Y with a Z-score of 14, then the S-score for the binding of that MAb to protein X is equal to 29.

SDS-PAGE Analysis Purified SOX10 Mouse Monoclonal Antibody (SOX10/991).Confirmation of Integrity and Purity of Antibody.
The specificity of this monoclonal antibody to its intended target was validated by HuProtTM Array, containing more than 19,000, full-length human proteins. Recognizes a protein of ~55kDa, identified as SOX10. This MAb is highly specific and does not cross-react with other members of the SOX-family. SOX genes comprise a family of genes that are related to the mammalian sex-determining gene SRY. These genes similarly contain sequences that encode for the HMG-box domain, which is responsible for the sequence-specific DNA-binding activity. SOX-10 is a sensitive marker of melanoma, including conventional, spindled, and desmoplastic subtypes. It is expressed by metastatic melanomas and nodal capsular nevus in sentinel lymph nodes, but not by other lymph node components such as dendritic cells, which usually express S100 protein. Commonly used melanoma markers, such as anti-HMB-45 and anti-Melan-A, are poorly expressed in desmoplastic melanomas while SOX-10 is moderately to strongly expressed in desmoplastic melanomas. SOX-10 is considered as a very reliable marker for recognizing residual desmoplastic melanomas. In normal tissues, it is expressed in Schwann cells, melanocytes, and myoepithelial cells of salivary, bronchial and mammary glands. SOX-10 expression is also observed in mast cells.
There are no reviews yet.