S100A5 Antibody [S100A5/7472]

In Stock
Catalog Number Formulation Size Price
6276-MSM2-P0
Purified Ab with BSA and Azide at 200ug/ml
20ug
$259.00
6276-MSM2-P1
Purified Ab with BSA and Azide at 200ug/ml
100ug
$559.00
6276-MSM2-P1ABX
Purified Ab WITHOUT BSA and Azide at 1.0mg/ml
100ug
$559.00
Flat Rate Domestic: $95 | Orders outside the US - Contact Us for Order Information | Ships next business day

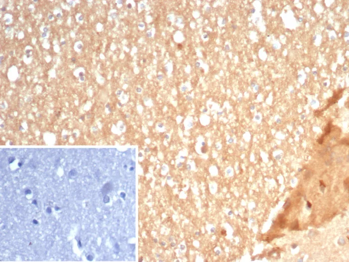
Applications & Dilutions

Applications Tested Dillution Protocol Note
Immunohistochemistry (IHC)
1-2ug/ml
30 min at RT. Staining of formalin-fixed tissues requires heating tissue sections in 10mM Tris with 1mM EDTA, pH 9.0, for 45 min at 95°C followed by cooling at RT for 20 minutes

Summary

The S-100 proteins are small calcium-binding proteins which display different expression patterns in human tissues. Some S-100 proteins are associated with tumor development and the metastatic behavior of tumors. S-100A5 (S100 calcium binding protein A5) is a 92 amino acid protein that belongs to the S-100 family. Containing two EF-hand domains, S-100A5 binds calcium, zinc and copper. One subunit can simultaneously bind two calcium ions or two copper ions plus one zinc ion. Calcium and copper ions compete for the same binding sites on the S-100A5 protein. The S-100A5 protein is expressed in very restricted regions of the adult brain. The S-100A5 gene is conserved in chimpanzee, dog, cow, mouse and rat, and maps to human chromosome 1q21.3. S100 genes include at least 13 members which are located as a cluster on chromosome 1q21. Due to the clustered organization of the S-100 proteins a new logical nomenclature based on their physical arrangement on the chromosome has been described, with S-100A1 being closest to the telomere and S-100A9 being closest to the centromere.

Product Properties & Targets

Antibody Type
Host
Mouse
Applications
Species Reactivity
Isotype / Light Chain
IgG2a / Kappa
Cellular Localization
Nucleus. Cytoplasm.
Gene Name
Positive Control
Human brain or colon.
Immunogen
Recombinant fragment (around aa1-92) of human S100A5 protein (exact sequence is proprietary)
Alternate Names
Protein S100-A5, Protein S-100D, S100 calcium-binding protein A5, Protein S-100D; Protein S100-A5; S100 calcium binding protein A5; S100 calcium-binding protein A5; S100D; S100D9

Database Links

Entrez Gene ID
SwissProt

Additional Information

Clone
S100A5/7472
Chromosome Location
1q21.3
Mol. Weight of Antigen
11kDa

Functions

  • Binds calcium, zinc and copper. One subunit can simultaneously bind 2 calcium ions or 2 copper ions plus 1 zinc ion. Calcium and copper ions compete for the same binding sites.

Key References

  • Jiang H et.al. J Cancer Res Clin Oncol. 2012 Jan;138(1):1-9

Storage & Stability

Antibody with azide - store at 2 to 8°C. Antibody without azide - store at -20 to -80°C.Antibody is stable for 24 months. Non-hazardous. No MSDS required.

Limitations

This antibody is available for research use only and is not approved for use in diagnosis.

Supplied as

200ug/ml of Ab purified from Bioreactor Concentrate by Protein A/G. Prepared in 10mM PBS with 0.05% BSA & 0.05% azide. Also available WITHOUT BSA & azide at 1.0mg/ml.

Warranty

There are no warranties, expressed or implied, which extend beyond this description. Company is not liable for any personal injury or economic loss resulting from this product.

Reviews

There are no reviews yet.

Be the first to review “S100A5 Antibody”

Your email address will not be published. Required fields are marked *

PARTNERSHIP OPPORTUNITIES

NeoBiotechnologies holds Exclusive rights to 10,000 recombinant and hybridoma antibody products, available for Licensing or Collaboration.

LETS TALK