
Analysis of Protein Array containing more than 19,000 full-length human proteins using S100A4 Mouse Monoclonal Antibody (CPTC-S100A4-3). Z- and S- Score: The Z-score represents the strength of a signal that a monoclonal antibody (MAb) (in combination with a fluorescently-tagged anti-IgG secondary antibody) produces when binding to a particular protein on the HuProtTM array. Z-scores are described in units of standard deviations (SDs) above the mean value of all signals generated on that array. If targets on HuProtTM are arranged in descending order of the Z-score, the S-score is the difference (also in units of SDs) between the Z-score. S-score therefore represents the relative target specificity of a MAb to its intended target. A MAb is considered to specific to its intended target, if the MAb has an S-score of at least 2.5. For example, if a MAb binds to protein X with a Z-score of 43 and to protein Y with a Z-score of 14, then the S-score for the binding of that MAb to protein X is equal to 29.

SDS-PAGE Analysis Purified S100A4 Mouse Monoclonal Antibody (CPTC-S100A4-3). Confirmation of Purity and Integrity of Antibody

Flow Cytometric Analysis of T98G cells using S100A4 Mouse Monoclonal Antibody (CPTC-S100A4-3) followed by Goat anti-Mouse IgG-CF488 (Blue); Isotype Control (Red).

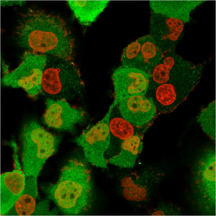
Immunofluorescence Analysis of T98G cells labeling S100A4 with S100A4 Mouse Monoclonal Antibody (CPTC-S100A4-3) followed by Goat anti-Mouse IgG-CF488 (Green). The nuclear counterstain is Reddot (Red).
S100A4 belongs to the S100 super-family of proteins containing 2 EF-hand calcium-binding domains. S100A4 has been implicated in the progression and prognosis of several forms of human cancer, e.g. breast, colorectal, gastric, pancreatic and bladder cancer, SCLC and oesophageal squamous cell carcinoma, among others. Poor prognosis associated with high S100A4 expression is accompanied by clear signs of disease progression, e.g. high histological and clinical grades and involvement of lymph nodes.Also indicative of poor prognosis is high S100A4 expression coupled with reduced E-cadherin expression in pancreatic, oral squamous cell carcinoma and in melanoma. S100A4 expression is inversely related with expression of metastasis suppressor nm23 and with prognosis of breast cancer. S100A4 is overexpressed in highly metastatic cancers, which makes it useful as a marker of tumor progression.
There are no reviews yet.