
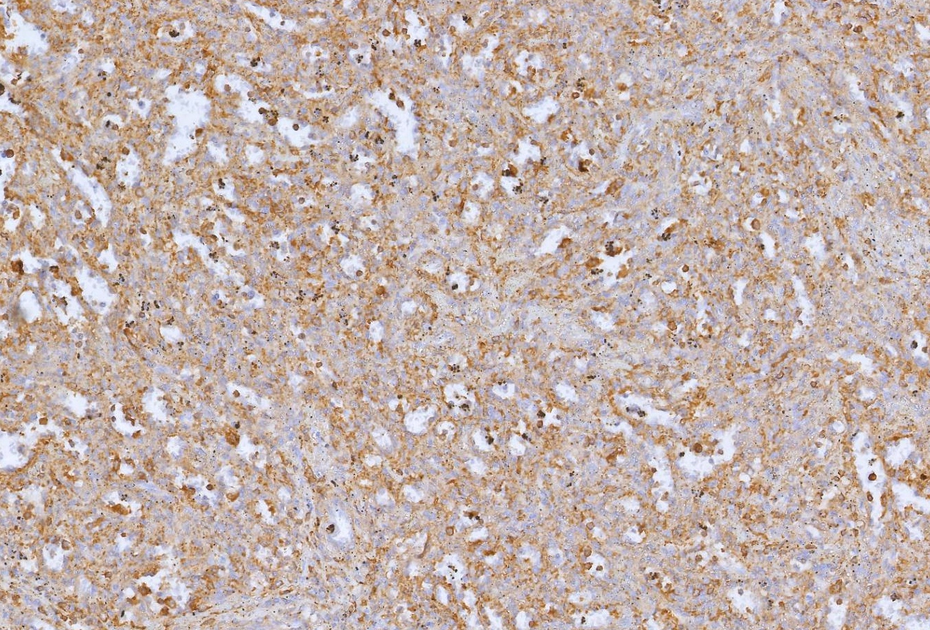
Formalin-fixed, paraffin-embedded human liver stained with Transforming Growth Factor Beta Receptor 1 Recombinant Mouse Monoclonal Antibody (r8A11). Inset: PBS instead of primary antibody; secondary only negative control. HIER: Tris/EDTA, pH9.0, 45min. 2°: HRP-polymer, 30min. DAB, 5min.
Transforming growth factor beta (TGFB) inhibits cell proliferation and stimulates cell differentiation. This is achieved through a receptor complex of types I and II TGFB receptors. The type II receptor is a transmembrane serine/threonine kinase which is able to bind TGFB and transactivate the type I receptor. TGFB receptors are found in all myometrial tissues and, in the kidney, they are found exclusively in renal tubular cells. In normal gastric mucosa, type I and II receptors are demonstrated in fundic glands, but not on surface mucous cells and in normal small bowel and colon, TGFB receptors are expressed in the epithelial cells of the upper crypts.
There are no reviews yet.