
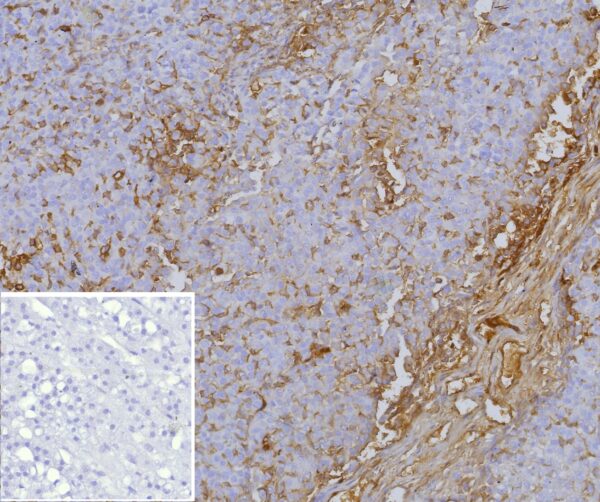
Formalin-fixed, paraffin-embedded human adrenal gland stained with p170 / MDR1 Mouse Monoclonal Antibody (ABCB1/9309). Inset: PBS instead of primary antibody; secondary only negative control.

Western blot analysis of human kidney tissue lysate using p170 / MDR1 Mouse Monoclonal Antibody (ABCB1/9309).
Cells selected for resistance to a single cytotoxic drug may become crossresistant to a broad range of drugs with different structures and cellular targets. This phenomenon is called multiple drug resistance (MDR). MDR proteins (Mdrs) are members of a highly conserved superfamily of ATP-binding cassette transport proteins. Mdr-1 is an apical transmembrane protein that is an integral part of the blood-brain barrier and functions as a drug-transport pump transporting a variety of drugs from the brain back into the blood. The Mdr-1 gene is known as ABCB1 and is located on human chromosome 7q21.12. The mouse homolog of Mdr-1 is known as Mdr-3. Interestingly, a murine protein by the name of Mdr-1 exists and is encoded by the murine Abcb1b gene, but it is not homologous with human Mdr-1.
There are no reviews yet.