
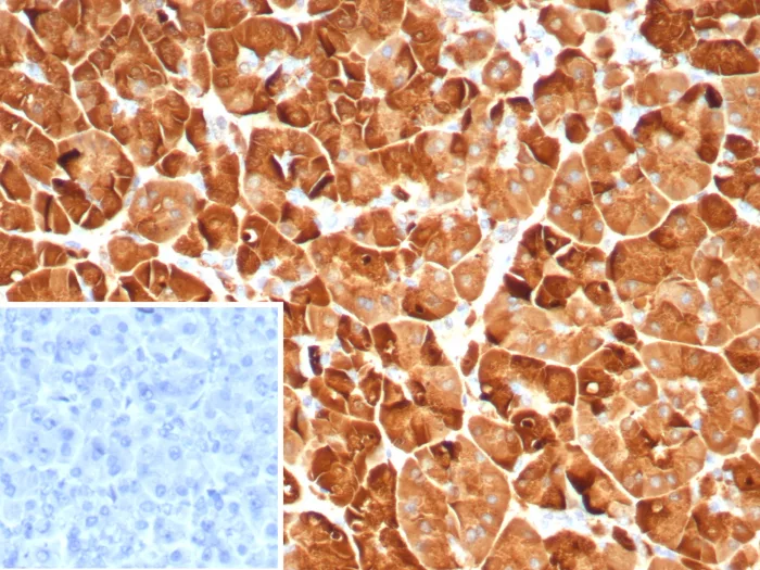
Formalin-fixed, paraffin-embedded human pancreas stained with Pancreatic lipase Mouse Monoclonal Antibody (PNLIP/9039). Inset: PBS instead of primary antibody; secondary only negative control.
The lipase gene family belongs to one of the most robust genetic superfamilies found in living organisms, which includes esterases and thioesterases. Members of the AB hydrolase subfamily include hepatic lipase (HL), endothelial lipase (EL), lipoprotein lipase (LPL), Pancreatic Lipase (PL), gastric lipase (GL) and LCAT. These family members play a crucial role in the metabolism of lipids. Pancreatic Lipase, also designated pancreatic triacylglycerol acyl hydrolase, is important for dietary fat absorption as it hydrolyses triglycerides into diglycerides, monoglycerides and free fatty acids.
There are no reviews yet.