
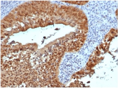
Formalin-fixed, paraffin-embedded human cervix stained with P16INK4a Recombinant Mouse Monoclonal Antibody (rCDKN2A/4845).

Formalin-fixed, paraffin-embedded human cervix stained with P16INK4a Recombinant Mouse Monoclonal Antibody (rCDKN2A/4845).
p16INK4a is a tumor suppressor protein. It is a specific inhibitor of cdk4/cdk6, and a tumor suppressor involved in the pathogenesis of a variety of malignancies. Recent analyses of the p16INK4a gene revealed homozygous deletions, nonsense, missense, or frameshift mutations in several human cancers. Although the frequency of p16INK4a abnormalities is higher in tumor derived cell lines than in unselected primary tumors, significant subsets of clinical cases with aberrant p16INK4a gene have been reported among melanomas, gliomas, esophageal, pancreatic, lung, and urinary bladder carcinomas, and some types of leukemia. Expression of p16INK4a (p16 positive) is highly correlated with human papilloma virus (HPV) infection in head and neck squamous cell carcinomas (HNSCC). p16 status is an important prognostic indicator in HNSCC and the p16 positive/HPV16 negative group is likely a distinct subgroup lacking any HPV genotype.
There are no reviews yet.