Nectin 4 / Nectin Cell Adhesion Molecule 4 / PVRL4 Antibody [NECT4/7271]

In Stock
Catalog Number Formulation Size Price
81607-MSM1-P0
Purified Ab with BSA and Azide at 200ug/ml
20ug
$259.00
81607-MSM1-P1
Purified Ab with BSA and Azide at 200ug/ml
100ug
$559.00
81607-MSM1-P1ABX
Purified Ab WITHOUT BSA and Azide at 1.0mg/ml
100ug
$559.00
Flat Rate Domestic: $95 | Orders outside the US - Contact Us for Order Information | Ships next business day

Applications & Dilutions

Applications Tested Dillution Protocol Note
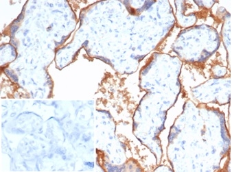
Immunohistochemistry (IHC)
1-2ug/ml
30 min at RT. Staining of formalin-fixed tissues requires heating tissue sections in 10mM Tris with 1mM EDTA, pH 9.0, for 45 min at 95°C followed by cooling at RT for 20 minutes

Summary

Homologous to the poliovirus receptor (PVR/CD155), the nectin immunoglobulin superfamily comprises four known isoforms (-1, -2, -3, and -4). The ectodomain of nectin family members comprises three Ig-like domains (V, C, C). Nectins localize at the adherens junctions (AJ) in epithelial and endothelial cells where they serve as adhesion molecules. Actin-based AJs play a role in mechanical adhesion, cellular morphogenesis and cellular differentiation. Nectin associates with the actin cytoskeleton through its interaction with the actin filament-binding protein afadin. Nectin 4 and afadin co-localize at cadherin-based adherens junctions in MDCKII epithelial cells. Nectin 4 and nectin 3 share a common binding region in the V domain of Nectin 1 and thus compete for Nectin 1 binding. The Nectin 3/4 binding domain maps to the C-C’-C”-D 尾 strands of the V domain of Nectin 1. Unlike other nectins, which are more widely expressed, Nectin 4 is mainly expressed in the placenta.

Product Properties & Targets

Antibody Type
Host
Mouse
Applications
Species Reactivity
Isotype / Light Chain
IgG2a / Kappa
Cellular Localization
Adherens junction, Cell junction, Cell membrane, Secreted
Gene Name
Positive Control
Human tonsil, placenta or breast.
Immunogen
Recombinant fragment (around aa1-200) of human NECTIN4 protein (exact sequence is proprietary)
Alternate Names
Nectin-4, Ig superfamily receptor LNIR, Nectin cell adhesion molecule 4, Poliovirus receptor-related protein 4, Ig superfamily receptor LNIR family; Nectin 4; poliovirus receptor-related 4; Processed poliovirus receptor-related protein 4; PRR4; PVRL4

Database Links

Entrez Gene ID
SwissProt

Additional Information

Clone
NECT4/7271
Chromosome Location
1q23.3
Mol. Weight of Antigen
66kDa

Functions

  • Seems to be involved in cell adhesion through trans-homophilic and -heterophilic interactions, the latter including specifically interactions with NECTIN1. Does not act as receptor for alpha-herpesvirus entry into cells.
  • (Microbial infection) Acts as a receptor for measles virus.

Key References

  • Reymond, N., et al. 2001. Nectin 4/PRR4, a new afadin-associated member of the nectin family that trans-interacts with Nectin 1/PRR1 through V domain interaction. J. Biol. Chem. 276: 43205-43215.

Storage & Stability

Antibody with azide - store at 2 to 8 °C. Antibody without azide - store at -20 to -80 °C. Antibody is stable for 24 months. Non-hazardous. No MSDS required.

Limitations

This antibody is available for research use only and is not approved for use in diagnosis.

Supplied as

200ug/ml of Ab purified from Bioreactor Concentrate by Protein A/G. Prepared in 10mM PBS with 0.05% BSA & 0.05% azide. Also available WITHOUT BSA & azide at 1.0mg/ml.

Warranty

There are no warranties, expressed or implied, which extend beyond this description. Company is not liable for any personal injury or economic loss resulting from this product.

Reviews

There are no reviews yet.

Be the first to review “Nectin 4 / Nectin Cell Adhesion Molecule 4 / PVRL4 Antibody”

Your email address will not be published. Required fields are marked *

PARTNERSHIP OPPORTUNITIES

NeoBiotechnologies holds Exclusive rights to 10,000 recombinant and hybridoma antibody products, available for Licensing or Collaboration.

LETS TALK