Myelin Protein Zero / MPZ Antibody [MPZ/7389]

In Stock
Catalog Number Formulation Size Price
4359-MSM1-P0
Purified Ab with BSA and Azide at 200ug/ml
20ug
$259.00
4359-MSM1-P1
Purified Ab with BSA and Azide at 200ug/ml
100ug
$559.00
4359-MSM1-P1ABX
Purified Ab WITHOUT BSA and Azide at 1.0mg/ml
100ug
$559.00
Flat Rate Domestic: $95 | Orders outside the US - Contact Us for Order Information | Ships next business day

Applications & Dilutions

Applications Tested Dillution Protocol Note
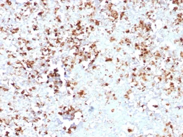
Immunohistochemistry (IHC)
1-2ug/ml
30 min at RT. Staining of formalin-fixed tissues requires heating tissue sections in 10mM Tris with 1mM EDTA, pH 9.0, for 45 min at 95°C followed by cooling at RT for 20 minutes

Summary

Zero, also known as myelin protein zero (MPZ) is a Type 1 integral membrane glycoprotein that mediates adhesion of spiraling wraps of the myelin sheath in order to ensure stable synaptic transmission. Zero protein encompasses approximately 50% of total protein in the sheath scaffolding in contribution to structural integrity of peripheral myelin. Zero guides the compact myelin wrapping process through glycine zipper packing interface-dependent dimer and tetramer formation. Mutations (e.g. G134R) can abrogate multimer formation, cause demyelinating neuropathies, and are known to contribute to conditions that include Charcot-Marie-Tooth disease. Zero cytoplasmic domain undergoes serine and tyrosine phosphorylation, which appears to be prevalent during peak nerve myelination. Zero transcript is moderate in brain, abundant in thymus and most abundant in white matter of the CNS.

Product Properties & Targets

Antibody Type
Host
Mouse
Applications
Species Reactivity
Research Areas
Isotype / Light Chain
IgG2a / Kappa
Cellular Localization
Membrane.
Gene Name
MPZ
Positive Control
Peripheral nerve cells.
Immunogen
Recombinant full-length human MPZ protein
Alternate Names
Myelin protein P0, Myelin peripheral protein, Myelin protein zero, Charcot Marie Tooth neuropathy 1B; CHM; CMT1; CMT1B; CMT2I; CMT2J; CMT4E; CMTDI3; CMTDID; DSS; HMSNIB; MPP; MPZ; Myelin peripheral protein; Myelin protein P0; Myelin protein zero; MYP0_HUMAN; P0

Database Links

Entrez Gene ID
SwissProt

Additional Information

Clone
MPZ/7389
Chromosome Location
1q23.3
Mol. Weight of Antigen
28kDa

Functions

  • Is an adhesion molecule necessary for normal myelination in the peripheral nervous system. It mediates adhesion between adjacent myelin wraps and ultimately drives myelin compaction.

Key References

  • Lemke, G. 2008. Isolation and analysis of the gene encoding peripheral myelin protein zero. Neuron 60: 403.

PubMed Links

Storage & Stability

Antibody with azide - store at 2 to 8°C. Antibody without azide - store at -20 to -80°C.Antibody is stable for 24 months. Non-hazardous. No MSDS required.

Limitations

This antibody is available for research use only and is not approved for use in diagnosis.

Supplied as

200ug/ml of Ab purified from Bioreactor Concentrate by Protein A/G. Prepared in 10mM PBS with 0.05% BSA & 0.05% azide. Also available WITHOUT BSA & azide at 1.0mg/ml.

Warranty

There are no warranties, expressed or implied, which extend beyond this description. Company is not liable for any personal injury or economic loss resulting from this product.

Reviews

There are no reviews yet.

Be the first to review “Myelin Protein Zero / MPZ Antibody”

Your email address will not be published. Required fields are marked *

PARTNERSHIP OPPORTUNITIES

NeoBiotechnologies holds Exclusive rights to 10,000 recombinant and hybridoma antibody products, available for Licensing or Collaboration.

LETS TALK