MART-1 / Melan-A / MLANA (Melanoma Marker) Antibody [SPM555]

In Stock
Catalog Number Formulation Size Price
2315-MSM3X-P0
Purified Ab with BSA and Azide at 200ug/ml
20ug
$259.00
2315-MSM3X-P1
Purified Ab with BSA and Azide at 200ug/ml
100ug
$559.00
2315-MSM3X-P1ABX
Purified Ab WITHOUT BSA and Azide at 1.0mg/ml
100ug
$559.00
Flat Rate Domestic: $95 | Orders outside the US - Contact Us for Order Information | Ships next business day

Applications & Dilutions

Applications Tested Dillution Protocol Note
Flow Cytometry (Flow)
1-2ug/million cells
Immunofluorescence (IF)
1-3ug/ml
Immunohistochemistry (IHC)
1-2ug/ml
30 min at RT. Staining of formalin-fixed tissues requires heating tissue sections in 10mM Tris with 1mM EDTA, pH 9.0, for 45 min at 95°C followed by cooling at RT for 20 minutes
Western Blot (WB)
2-4ug/ml

Summary

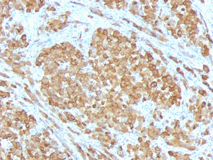
This antibody recognizes a protein doublet of 20-22kDa, identified as MART-1 (Melanoma Antigen Recognized by T cells 1) or Melan-A. MART-1 is a newly identified melanocyte differentiation antigen recognized by autologous cytotoxic T lymphocytes. Seven other melanoma associated antigens recognized by autologous cytotoxic T cells include MAGE-1, MAGE-3, tyrosinase, gp100, gp75, BAGE-1, and GAGE-1. Subcellular fractionation shows that MART-1 is present in melanosomes and endoplasmic reticulum. This MAb labels melanomas and other tumors showing melanocytic differentiation. It is also a useful positive-marker for angiomyolipomas. It does not stain tumor cells of epithelial, lymphoid, glial, or mesenchymal origin.

Product Properties & Targets

Antibody Type
Host
Mouse
Species Reactivity
Isotype / Light Chain
IgG1 / Kappa
Cellular Localization
Endoplasmic reticulum membrane, Golgi apparatus, Melanosome, trans-Golgi network membrane
Gene Name
Positive Control
COLO38, SK-MEL-13 and SK-MEL-19 melanoma cell lines. Human melanoma tissues.
Immunogen
Recombinant hMART-1 protein
Alternate Names
Melanoma antigen recognized by T-cells 1, Antigen LB39-AA, Antigen SK29-AA, Protein Melan-A, Antigen LB39-AA, Antigen SK29-AA, Melanoma antigen recognized by T-cells 1, MLAN-A, MLANA

Database Links

Entrez Gene ID
SwissProt

Additional Information

Clone
SPM555
Chromosome Location
9p24.1
Mol. Weight of Antigen
20-22kDa (doublet)

Functions

  • Involved in melanosome biogenesis by ensuring the stability of GPR143. Plays a vital role in the expression, stability, trafficking, and processing of melanocyte protein PMEL, which is critical to the formation of stage II melanosomes.

Key References

  • Chen Y-T, et. al. Proc Natl Acad Sci, USA, 1996, 93:5915-19.

Storage & Stability

Antibody with azide - store at 2 to 8°C. Antibody without azide - store at -20 to -80°C. Antibody is stable for 24 months. Non-hazardous. No MSDS required.

Limitations

This antibody is available for research use only and is not approved for use in diagnosis.

Supplied as

200ug/ml of Ab Purified from Bioreactor Concentrate by Protein A/G. Prepared in 10mM PBS with 0.05% BSA & 0.05% azide. Also available WITHOUT BSA & azide at 1.0mg/ml.

Warranty

There are no warranties, expressed or implied, which extend beyond this description. Company is not liable for any personal injury or economic loss resulting from this product.

Reviews

There are no reviews yet.

Be the first to review “MART-1 / Melan-A / MLANA (Melanoma Marker) Antibody”

Your email address will not be published. Required fields are marked *

PARTNERSHIP OPPORTUNITIES

NeoBiotechnologies holds Exclusive rights to 10,000 recombinant and hybridoma antibody products, available for Licensing or Collaboration.

LETS TALK