Kallikrein 5 (KLK5) Antibody [KLK5/4759]

In Stock
Catalog Number Formulation Size Price
25818-MSM19-P0
Purified Ab with BSA and Azide at 200ug/ml
20ug
$259.00
25818-MSM19-P1
Purified Ab with BSA and Azide at 200ug/ml
100ug
$559.00
25818-MSM19-P1ABX
Purified Ab WITHOUT BSA and Azide at 1.0mg/ml
100ug
$559.00
Flat Rate Domestic: $95 | Orders outside the US - Contact Us for Order Information | Ships next business day

Applications & Dilutions

Applications Tested Dillution Protocol Note
Immunohistochemistry (IHC)
1-2ug/ml
30 min at RT. Staining of formalin-fixed tissues requires heating tissue sections in 10mM Tris with 1mM EDTA, pH 9.0, for 45 min at 95°C followed by cooling at RT for 20 minutes

Summary

Kallikreins (KLKs) belong to the serine protease family of proteolytic enzymes. Human pancreatic/renal KLK encodes for the KLK1 enzyme, which is involved in post-translational processing of polypeptide precursors. The function of the other members of KLK gene family is still currently unknown, but evidence suggests that many KLKs are implicated in carcinogenesis. The human KLK gene family consists of 15 serine proteases. The human KLK genes are clustered on chromosome 19q13. Unlike other kalllikreins, the KLK4-15 encoded proteases are less related and do not contain a conventional KLK loop. Clusters of genes exhibit high prostatic (KLK2-4, KLK15) or pancreatic (KLK6-13) expression. KLK2 is also known as glandular kallikrein 2, tissue kallikrein, or HGK-1 and KLK3 is known as prostate-specific antigen (PSA). Both KLK2 and KLK3 have important applications in prostate cancer and breast cancer diagnostics. Many of the KLKs are regulated by steroid hormones and a few of them, specifically KLK3, KLK6 and KLK10, are known to be downregulated in breast and other cancers. KLK5 expression is abundant in skin, mammary gland and testis.

Product Properties & Targets

Antibody Type
Host
Mouse
Applications
Species Reactivity
Research Areas
Isotype / Light Chain
IgG1 / Kappa
Cellular Localization
Secreted.
Gene Name
Positive Control
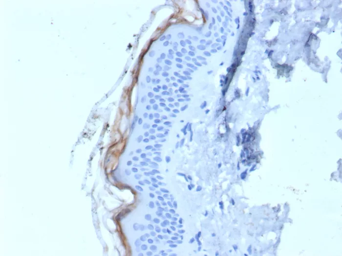
Human skin tissue (IHC). MCF-7 cell lysates.
Immunogen
Recombinant fragment of human KLK5 protein (around aa 1-200) (exact sequence is proprietary)
Alternate Names
Kallikrein-5, Kallikrein-like protein 2, Stratum corneum tryptic enzyme, HK5; Kallikrein L2; Kallikrein like protein 2; Kallikrein related peptidase 5; Kallikrein-like protein 2 (KLKL2); Stratum corneum tryptic enzyme (SCTE)

Database Links

Entrez Gene ID
SwissProt

Additional Information

Clone
KLK5/4759
Chromosome Location
19q13.33
Mol. Weight of Antigen
33kDa

Functions

  • May be involved in desquamation.

Key References

  • Diamandis, E.P., et al. 2000. The new human kallikrein gene family: implications in carcinogenesis. Trends Endocrinol. Metab. 11: 54-60.

Storage & Stability

Antibody with azide - store at 2 to 8°C. Antibody without azide - store at -20 to -80°C.Antibody is stable for 24 months. Non-hazardous. No MSDS required.

Limitations

This antibody is available for research use only and is not approved for use in diagnosis.

Supplied as

200ug/ml of Ab purified from Bioreactor Concentrate by Protein A/G. Prepared in 10mM PBS with 0.05% BSA & 0.05% azide. Also available WITHOUT BSA & azide at 1.0mg/ml.

Warranty

There are no warranties, expressed or implied, which extend beyond this description. Company is not liable for any personal injury or economic loss resulting from this product.

Reviews

There are no reviews yet.

Be the first to review “Kallikrein 5 (KLK5) Antibody”

Your email address will not be published. Required fields are marked *

PARTNERSHIP OPPORTUNITIES

NeoBiotechnologies holds Exclusive rights to 10,000 recombinant and hybridoma antibody products, available for Licensing or Collaboration.

LETS TALK