
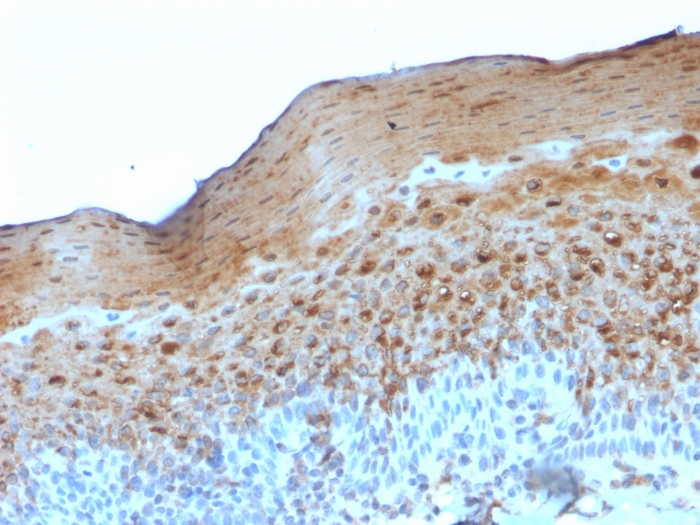
Formalin-fixed, paraffin-embedded human Tonsil stained with Involucrin Mouse Monoclonal Antibody (SY5).

SDS-PAGE Analysis of Purified Involucrin Mouse Monoclonal Antibody (SY5). Confirmation of Purity and Integrity of Antibody.
It recognizes a protein of 66kDa-170kDa, identified as involucrin. In Western blotting of cultured human keratinocytes, this MAb reacts with a 120kDa protein. It stains the involucrin in a variety of sizes: 170kDa in MCF-7 cells, a doublet of ~115kDa and 150kDa in gorilla and owl monkey, 66kDa in dog, and a doublet of 105kDa in pig. Its epitope maps between codon 421-568 of human involucrin. Involucrin is expressed in a range of stratified squamous epithelia, including the cornea, which lacks a distinct cornified layer. In normal epidermis, it is first expressed in the upper spinous layers, and in keratinocyte cultures, all cells that have left the basal layer express it. Involucrin expression is altered in pathological conditions: in psoriasis and other benign epidermal hyperplasias, involucrin expression begins closer to the basal layer than normal; expression is abnormal in squamous cell carcinomas and premalignant lesions, and is reduced in severe dysplasias of the larynx and cervix.
There are no reviews yet.