
SDS-PAGE Analysis Purified HSD17B13 Mouse Monoclonal Antibody (HSD17B13/13101). Confirmation of Purity and Integrity of Antibody.

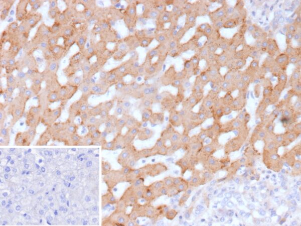
Formalin-fixed, paraffin-embedded human hepatocellular carcinoma stained with Hydroxysteroid 17-beta dehydrogenase 13 Mouse Monoclonal Antibody (HSD17B13/13101). Inset: PBS instead of primary antibody; secondary only negative control.

Analysis of Protein Array containing more than 19,000 full-length human proteins using Hydroxysteroid 17-beta dehydrogenase 13 Mouse Monoclonal Antibody (HSD17B13/13101). Z- and S- Score: The Z-score represents the strength of a signal that a monoclonal antibody (MAb) (in combination with a fluorescently-tagged anti-IgG secondary antibody) produces when binding to a particular protein on the HuProtTM array. Z-scores are described in units of standard deviations (SD's) above the mean value of all signals generated on that array. If targets on HuProtTM are arranged in descending order of the Z-score, the S-score is the difference (also in units of SD's) between the Z-score. S-score therefore represents the relative target specificity of a MAb to its intended target. A MAb is considered to specific to its intended target, if the MAb has an S-score of at least 2.5. For example, if a MAb binds to protein X with a Z-score of 43 and to protein Y with a Z-score of 14, then the S-score for the binding of that MAb to protein X is equal to 29.
Hydroxysteroid 17-beta dehydrogenase 13 (HSD17B13) is an enzyme in the liver that is associated with lipid droplets. It is encoded by the HSD17B13 gene in humans. HSD17B13 levels increase in patients with non-alcoholic fatty liver disease (NAFLD) and can enhance lipogenesis. However, some studies have shown that loss-of-function variants in HSD17B13 may protect against the progression of NAFLD to non-alcoholic steatohepatitis, fibrosis, and hepatocellular carcinoma.
There are no reviews yet.