
Formalin-fixed, paraffin-embedded human Spleen stained with Granzyme B Monospecific Mouse Monoclonal Antibody (GZMB/3014).

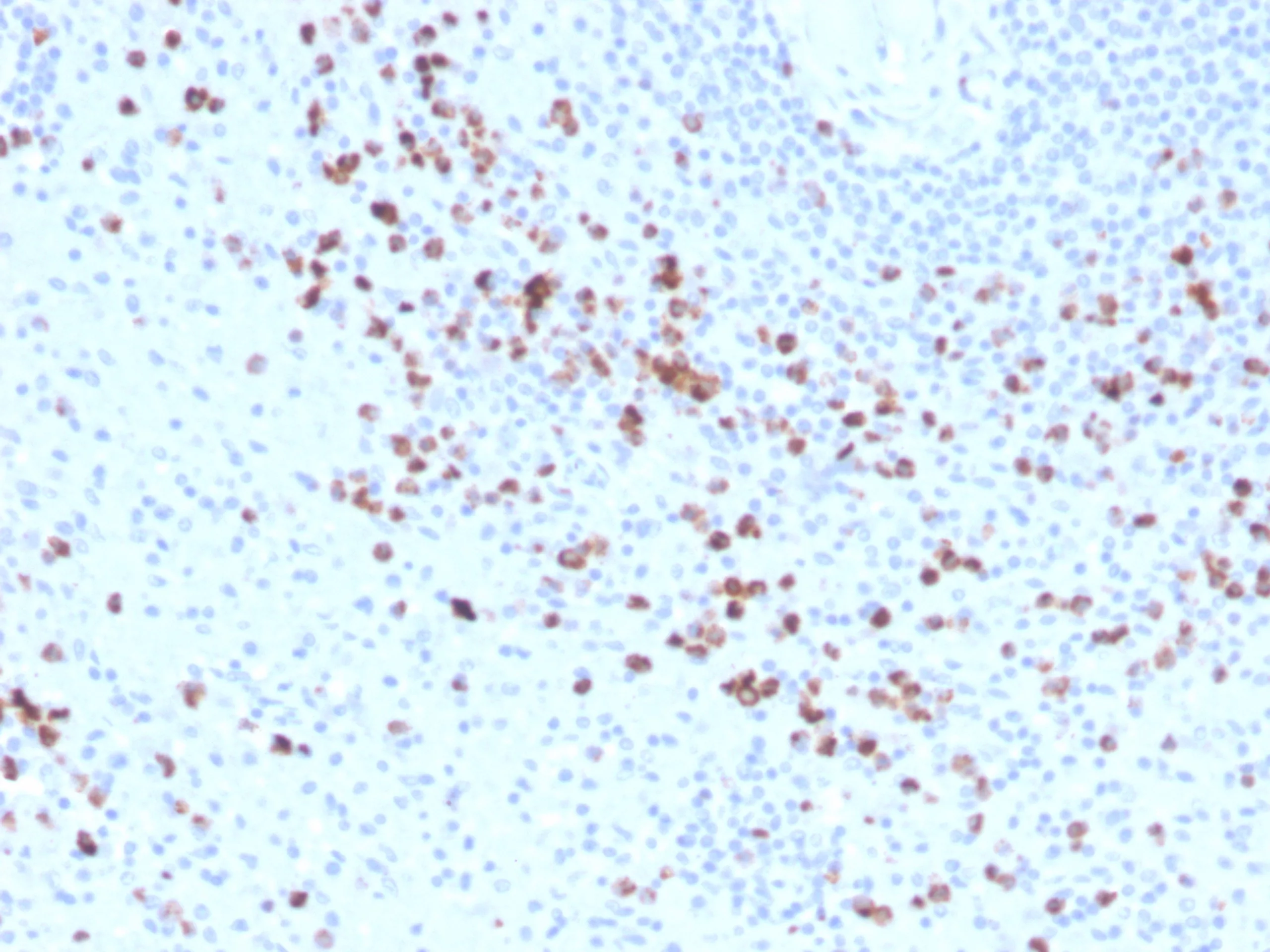
Formalin-fixed, paraffin-embedded human Tonsil stained with Granzyme B Monospecific Mouse Monoclonal Antibody (GZMB/3014).

SDS-PAGE Analysis Purified Granzyme B Mouse Monoclonal Antibody (GZMB/3014). Confirmation of Integrity and Purity of Antibody.

Analysis of Protein Array containing >19,000 full-length human proteins using Granzyme B Monospecific Mouse Monoclonal Antibody (GZMB/3014) Z- and S- Score: The Z-score represents the strength of a signal that a monoclonal antibody (MAb) (in combination with a fluorescently-tagged anti-IgG secondary antibody) produces when binding to a particular protein on the HuProtTM array. Z-scores are described in units of standard deviations (SDÂ’s) above the mean value of all signals generated on that array. If targets on HuProtTM are arranged in descending order of the Z-score, the S-score is the difference (also in units of SDÂ’s) between the Z-score. S-score therefore represents the relative target specificity of a MAb to its intended target. A MAb is considered to specific to its intended target, if the MAb has an S-score of at least 2.5. For example, if a MAb binds to protein X with a Z-score of 43 and to protein Y with a Z-score of 14, then the S-score for the binding of that MAb to protein X is equal to 29.
Granzyme B is a member of the granule serine protease family stored specifically in NK cells or cytotoxic T cells. Cytolytic T lymphocytes (CTL) and natural killer (NK) cells share the ability to recognize, bind, and lyse specific target cells. They are thought to protect their host by lysing cells bearing on their surface ‘nonself’ antigens, usually peptides or proteins resulting from infection by intracellular pathogens. Granzyme B is crucial for the rapid induction of target cell apoptosis by CTLs in the cell-mediated immune response. Granzyme B is useful as a marker in the identification of NK/T-cell lymphomas. High percentages of cytotoxic T-cells have been shown to be an unfavorable prognostic indicator in Hodgkin’s Disease.
There are no reviews yet.