
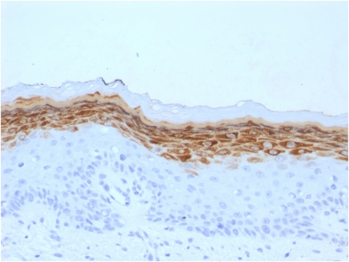
Formalin-fixed, paraffin-embedded human Skin stained with Filaggrin Mouse Monoclonal Antibody (FLG/1561).

SDS-PAGE Analysis of Purified Filaggrin Mouse Monoclonal Antibody (FLG/1561). Confirmation of Integrity and Purity of Antibody.

Analysis of Protein Array containing >19,000 full-length human proteins using Filaggrin Mouse Monoclonal Antibody (FLG/1561) Z- and S- Score: The Z-score represents the strength of a signal that a monoclonal antibody (Monoclonal Antibody) (in combination with a fluorescently-tagged anti-IgG secondary antibody) produces when binding to a particular protein on the HuProtTM array. Z-scores are described in units of standard deviations (SD's) above the mean value of all signals generated on that array. If targets on HuProtTM are arranged in descending order of the Z-score, the S-score is the difference (also in units of SD's) between the Z-score. S-score therefore represents the relative target specificity of a Monoclonal Antibody to its intended target. A Monoclonal Antibody is considered to specific to its intended target, if the Monoclonal Antibody has an S-score of at least 2.5. For example, if a Monoclonal Antibody binds to protein X with a Z-score of 43 and to protein Y with a Z-score of 14, then the S-score for the binding of that Monoclonal Antibody to protein X is equal to 29.
Filaggrin is an intermediate filament-associated protein that aggregates keratin intermediate filaments in mammalian epidermis. It is initially synthesized as a polyprotein precursor, profilaggrin (consisting of multiple filaggrin units of 324 aa each), which is localized in keratohyalin granules, and is subsequently proteolytically processed into individual functional filaggrin molecules.Active filaggrin is present at a level of the epidermis where keratinocytes are in transition between the live nucleated granular layer and the anucleate cornified layer, suggesting that filaggrin aids in the terminal differentiation process by facilitating apoptotic machinery.
There are no reviews yet.