CD79b (B-Cell Marker) Antibody [CD79b/4960]

In Stock
Catalog Number Formulation Size Price
974-MSM10-P0
Purified Ab with BSA and Azide at 200ug/ml
20ug
$259.00
974-MSM10-P1
Purified Ab with BSA and Azide at 200ug/ml
100ug
$559.00
974-MSM10-P1ABX
Purified Ab WITHOUT BSA and Azide at 1.0mg/ml
100ug
$559.00
Flat Rate Domestic: $95 | Orders outside the US - Contact Us for Order Information | Ships next business day

Applications & Dilutions

Applications Tested Dillution Protocol Note
Immunohistochemistry (IHC)
1-2ug/ml
30 min at RT. Staining of formalin-fixed tissues requires heating tissue sections in 10mM Tris with 1mM EDTA, pH 9.0, for 45 min at 95°C followed by cooling at RT for 20 minutes

Summary

CD79 (also designated Ig α/Ig β) is a heterodimer composed of α chains, designated CD79A or MB-1, and β chains, designated CD79B or B29. The B cell antigen receptor complex (BCR) is formed by the association of CD79 with a membrane immunoglobulin, such as IgM or IgD. The membrane immunoglobulins IgM and IgD achieve surface expression and antigen presentation function in response to CD79 association. The cytoplasmic tails of both CD79A and CD79B contain an ITAM (immuno-receptor tyrosine-based activation) motif, which acts to initiate the BCR signaling reactions by binding to and activating tyrosine kinases.

Product Properties & Targets

Antibody Type
Host
Mouse
Applications
Species Reactivity
Isotype / Light Chain
IgG1 / Kappa
Cellular Localization
Cell surface
Gene Name
Positive Control
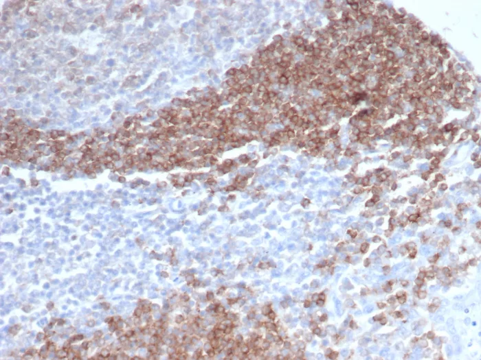
Daudi or Ramos cells. Germinal center B-cells in a lymph node or tonsil.
Immunogen
Recombinant fragment of human CD79b protein (exact sequence is proprietary)
Alternate Names
B-cell antigen receptor complex-associated protein beta chain, B-cell-specific glycoprotein B29, Ig-beta, Immunoglobulin-associated B29 protein, AGM6; B-cell antigen receptor complex-associated protein beta chain; B-cell-specific glycoprotein B29; B29; B29/Ig-beta/CD79b; CD79b; Ig-beta; IGB; Immunoglobulin-associated B29 protein

Database Links

Entrez Gene ID
974
SwissProt

Additional Information

Clone
CD79b/4960
Chromosome Location
17q23.3
Mol. Weight of Antigen
39kDa

Functions

  • Required in cooperation with CD79A for initiation of the signal transduction cascade activated by the B-cell antigen receptor complex (BCR) which leads to internalization of the complex, trafficking to late endosomes and antigen presentation. Enhances phosphorylation of CD79A, possibly by recruiting kinases which phosphorylate CD79A or by recruiting proteins which bind to CD79A and protect it from dephosphorylation.

Key References

  • Wood, W.J., Jr., et al. 1993. Isolation and chromosomal mapping of the human immunoglobulin-associated B29 gene (IGB). Genomics 16: 187-192.
  • Mason, D.Y., et al. 1992. The B29 and MB-1 polypeptides are differentially expressed during human B cell differentiation. Eur. J. Immunol. 22:2753-2756.

Storage & Stability

Antibody with azide - store at 2 to 8°C. Antibody without azide - store at -20 to -80°C.Antibody is stable for 24 months. Non-hazardous. No MSDS required.

Limitations

This antibody is available for research use only and is not approved for use in diagnosis.

Supplied as

200ug/ml of Ab purified from Bioreactor Concentrate by Protein A/G. Prepared in 10mM PBS with 0.05% BSA & 0.05% azide. Also available WITHOUT BSA & azide at 1.0mg/ml.

Warranty

There are no warranties, expressed or implied, which extend beyond this description. Company is not liable for any personal injury or economic loss resulting from this product.

Reviews

There are no reviews yet.

Be the first to review “CD79b (B-Cell Marker) Antibody”

Your email address will not be published. Required fields are marked *

PARTNERSHIP OPPORTUNITIES

NeoBiotechnologies holds Exclusive rights to 10,000 recombinant and hybridoma antibody products, available for Licensing or Collaboration.

LETS TALK