
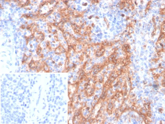
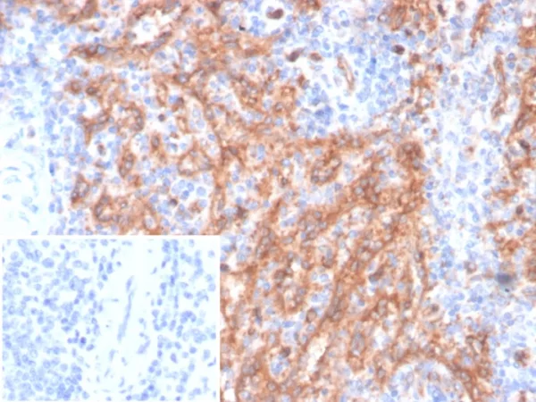
Formalin-fixed, paraffin-embedded human spleen stained with CD36 Mouse Monoclonal Antibody (CD36/7218) at 2ug/ml. Inset: PBS instead of primary antibody; secondary only negative control.
Recognizes a protein of 80kDa-90kDa, identified as CD36. It is expressed on platelets, monocytes and macrophages, microvascular endothelial cells, erythrocyte precursors, mammary epithelial cells, and some macrophage derived dendritic cells. CD36 acts as a receptor for thrombospondin (TSP), collagen types I, IV and V, P. falciparum malaria-infected erythrocytes, and sickle erythrocytes. It also functions as a scavenger receptor, mediating macrophage uptake of oxidized low-density lipoprotein (LDL) and recognition of apoptotic polymorphonuclear leukocytes (PMN). CD36 plays a role in platelet aggregation, macrophage foam cell development, inflammation, and the tissue ischemia observed in sickle cell disease and cerebral malaria. Note that 1-4% of Japanese and East Asia population lack CD36.
There are no reviews yet.