CD35 / CR1 (Follicular Dendritic Cell Marker) Antibody [E11]

In Stock
Catalog Number Formulation Size Price
1378-MSM1-P0
Purified Ab with BSA and Azide at 200ug/ml
20ug
$259.00
1378-MSM1-P1
Purified Ab with BSA and Azide at 200ug/ml
100ug
$559.00
1378-MSM1-P1ABX
Purified Ab WITHOUT BSA and Azide at 1.0mg/ml
100ug
$559.00
Flat Rate Domestic: $95 | Orders outside the US - Contact Us for Order Information | Ships next business day

Applications & Dilutions

Applications Tested Dillution Protocol Note
Flow Cytometry (Flow)
1-2ug/million cells
Immunofluorescence (IF)
1-3ug/ml
Immunohistochemistry (IHC)
1-2ug/ml
30 min at RT. Staining of formalin-fixed tissues requires heating tissue sections in 10mM Tris with 1mM EDTA, pH 9.0, for 45 min at 95°C followed by cooling at RT for 20 minutes

Summary

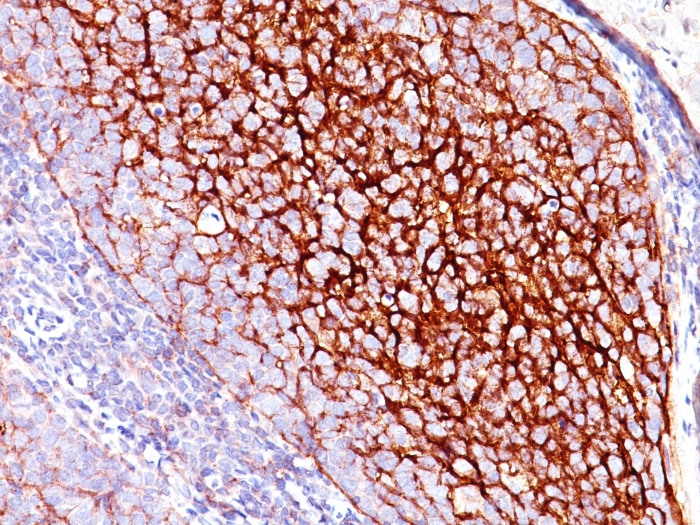
Recognizes a protein of 210-220kDa, which is identified as the complement receptor 1 (CR1)/CD35. This MAb is specific for a site in CR1 that is distal from the C3b-binding site, so that it is unable to block CR1 activity. This MAb is highly specific to CR1 and shows no cross-reaction with CR2. The primary function of CR1 is to serve as the cellular receptor for C3b and C4b, the most important components of the complement system leading to clearance of foreign macromolecules. The Knops blood group system is a system of antigens located on this protein.Follicular dendritic cells (FDC) are restricted to the B-cell regions of secondary lymphoid follicles. They are CD21+/CD35+/CD1a-. This MAb labels follicular dendritic cells and follicular dendritic cell sarcoma.

Product Properties & Targets

Antibody Type
Host
Mouse
Isotype / Light Chain
IgG1 / Kappa
Cellular Localization
Membrane
Gene Name
CR1
Positive Control
Follicular dendritic cells (FDC) in tonsil.
Immunogen
Intact human monocytes
Alternate Names
Complement receptor type 1, C3b/C4b receptor, C3 binding protein, C3b/C4b receptor, C3BR, C4BR, Complement Component (3b/4b) receptor 1 including Knops blood group system, Complement receptor type 1, KN, Knops blood group antigen

Database Links

Entrez Gene ID
SwissProt

Additional Information

Clone
E11
Chromosome Location
1q32.2
Mol. Weight of Antigen
210-220kDa

Functions

  • Membrane immune adherence receptor that plays a critical role in the capture and clearance of complement-opsonized pathogens by erythrocytes and monocytes/macrophages (PubMed:2963069). Mediates the binding by these cells of particles and immune complexes that have activated complement to eliminate them from the circulation (PubMed:2963069). Acts also in the inhibition of spontaneous complement activation by impairing the formation and function of the alternative and classical pathway C3/C5 convertases, and by serving as a cofactor for the cleavage by factor I of C3b to iC3b, C3c and C3d,g, and of C4b to C4c and C4d (PubMed:2972794, PubMed:8175757). Plays also a role in immune regulation by contributing, upon ligand binding, to the generation of regulatory T cells from activated helper T cells (PubMed:25742728).
  • (Microbial infection) Acts as a receptor for Epstein-Barr virus.

Key References

  • Hogg N, et. al. European Journal of Immunology, 1984, 14:236-43.

Storage & Stability

Antibody with azide - store at 2 to 8°C. Antibody without azide - store at -20 to -80°C. Antibody is stable for 24 months. Non-hazardous. No MSDS required.

Limitations

This antibody is available for research use only and is not approved for use in diagnosis.

Supplied as

200ug/ml of Ab Purified from Bioreactor Concentrate by Protein A/G. Prepared in 10mM PBS with 0.05% BSA & 0.05% azide. Also available WITHOUT BSA & azide at 1.0mg/ml.

Warranty

There are no warranties, expressed or implied, which extend beyond this description. Company is not liable for any personal injury or economic loss resulting from this product.

Reviews

There are no reviews yet.

Be the first to review “CD35 / CR1 (Follicular Dendritic Cell Marker) Antibody”

Your email address will not be published. Required fields are marked *

PARTNERSHIP OPPORTUNITIES

NeoBiotechnologies holds Exclusive rights to 10,000 recombinant and hybridoma antibody products, available for Licensing or Collaboration.

LETS TALK