Recombinant CD23 (Fc Epsilon RII) Antibody [FCER2/8237R]

In Stock
Catalog Number Formulation Size Price
2208-RBM17-P0
Purified Ab with BSA and Azide at 200ug/ml
20ug
$259.00
2208-RBM17-P1
Purified Ab with BSA and Azide at 200ug/ml
100ug
$559.00
2208-RBM17-P1ABX
Purified Ab WITHOUT BSA and Azide at 1.0mg/ml
100ug
$559.00
Flat Rate Domestic: $95 | Orders outside the US - Contact Us for Order Information | Ships next business day

Applications & Dilutions

Applications Tested Dillution Protocol Note
Immunohistochemistry (IHC)
1-2ug/ml
30 min at RT. Staining of formalin-fixed tissues requires heating tissue sections in 10mM Tris with 1mM EDTA, pH 9.0, for 45 min at 95°C followed by cooling at RT for 20 minutes

Summary

CD23 (FCE2) is a type II integral membrane glycoprotein that is expressed on mature B cells, monocytes, eosinophils, platelets and dendritic cells. CD23 is a low affinity IgE receptor that mediates IgE-dependent cytotoxicity and phagocytosis by macrophages and eosinophils. CD23 associates as an oligomer where cooperative binding of at least two lectin domains is required for high affinity IgE binding to CD23. It may play a role in antigen presentation by B cells by interacting with CD40. CD23 has been shown to be associated with the Fyn tyrosine kinase. The truncated molecule can be secreted, then function as a potent mitogenic growth factor. CD23 is expressed on a subpopulation of peripheral blood cells, B-lymphocytes and on EBV transformed B lymphoblastoid cell lines. CD23 is also detected in neoplastic cells from cases of B cell chronic lymphocytic leukemia and some cases on centroblastic/centrocytic lymphoma.

Product Properties & Targets

Host
Rabbit
Applications
Species Reactivity
Isotype / Light Chain
IgG / Kappa
Cellular Localization
Cell surface
Gene Name
Positive Control
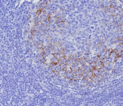
Human lymph node or tonsil (IHC).
Immunogen
Recombinant fragment (around aa 200-300) of human FCER2/CD23 protein (exact sequence is proprietary)
Alternate Names
Low affinity immunoglobulin epsilon Fc receptor | Low affinity immunoglobulin epsilon Fc receptor membrane-bound form | Low affinity immunoglobulin epsilon Fc receptor soluble form, BLAST-2, C-type lectin domain family 4 member J, Fc-epsilon-RII, Immunoglobulin E-binding factor, Lymphocyte IgE receptor, BLAST-2; C-type lectin domain family 4, member J; Fc fragment of IgE low affinity II receptor; Fc-epsilon-RII; FCER2; FCER2A; FceRII; IgE-binding factor (IGEBF); Immunoglobulin E receptor, low affinity II; Lymphocyte IgE receptor

Database Links

Entrez Gene ID
SwissProt

Additional Information

Clone
FCER2/8237R
Chromosome Location
19p13.3
Mol. Weight of Antigen
37kDa (soluble form); 45kDa (membrane-bound form)

Functions

  • Low-affinity receptor for immunoglobulin E (IgE) and CR2/CD21. Has essential roles in the regulation of IgE production and in the differentiation of B cells. On B cells, initiates IgE-dependent antigen uptake and presentation to T cells (PubMed:2167225). On macrophages, upon IgE binding and antigen cross-linking induces intracellular killing of parasites through activation of L-Arginine-nitric oxide pathway (PubMed:7544003).

Key References

  • Kaiserlian D, et al. Intestinal epithelial cells express the CD23/FceRII molecule: enhanced expression in enteropathies. Immunology. 80:90-95(1993).

Storage & Stability

Antibody with azide - store at 2 to 8°C. Antibody without azide - store at -20 to -80°C.Antibody is stable for 24 months. Non-hazardous. No MSDS required.

Limitations

This antibody is available for research use only and is not approved for use in diagnosis.

Supplied as

200ug/ml of Ab purified from Bioreactor Concentrate by Protein A/G. Prepared in 10mM PBS with 0.05% BSA & 0.05% azide. Also available WITHOUT BSA & azide at 1.0mg/ml.

Warranty

There are no warranties, expressed or implied, which extend beyond this description. Company is not liable for any personal injury or economic loss resulting from this product.

Reviews

There are no reviews yet.

Be the first to review “Recombinant CD23 (Fc Epsilon RII) Antibody”

Your email address will not be published. Required fields are marked *

PARTNERSHIP OPPORTUNITIES

NeoBiotechnologies holds Exclusive rights to 10,000 recombinant and hybridoma antibody products, available for Licensing or Collaboration.

LETS TALK