
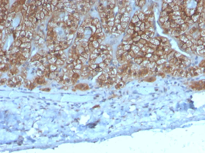
Formalin-fixed, paraffin-embedded human adrenal gland stained with CCL23 Mouse Monoclonal Antibody (CCL23/4036). HIER: Tris/EDTA, pH9.0, 45min. 2°C: HRP-polymer, 30min. DAB, 5min.

Analysis of Protein Array containing more than 19,000 full-length human proteins using CCL23-Monospecific Mouse Monoclonal Antibody (CCL23/4036). Z- and S- Score: The Z-score represents the strength of a signal that a monoclonal antibody (MAb) (in combination with a fluorescently-tagged anti-IgG secondary antibody) produces when binding to a particular protein on the HuProtTM array. Z-scores are described in units of standard deviations (SD's) above the mean value of all signals generated on that array. If targets on HuProtTM are arranged in descending order of the Z-score, the S-score is the difference (also in units of SD's) between the Z-score. S-score therefore represents the relative target specificity of a MAb to its intended target. A MAb is considered to specific to its intended target, if the MAb has an S-score of at least 2.5. For example, if a MAb binds to protein X with a Z-score of 43 and to protein Y with a Z-score of 14, then the S-score for the binding of that MAb to protein X is equal to 29.
Small inducible cytokine A23 precursor (CCL23), or CK-b-8, is a chemokine that binds to the receptor CCR1. It is involved in the immune response and inhibits production of polymorphonuclear leukocytes (PMNs) and monocytes in bone marrow. In addition, CCL23 has a splice variant, CK-b-8-1, and both variants chemoattract lymphocytes, monoctyes and neutrophils. CCL23 also promotes angiogenesis and endothelial cell migration via its actions on the CCR1 receptor. Proinflammatory proteases cleave an N-terminal domain of CCL23, improving the potency of its CCR1-mediated signaling up to 1000- fold in vitro. N-truncated CCL23 is found in high levels in synovial fluids of rheumatoid arthritis patients, suggesting a role of protease release during an inflammatory response. High levels of CCL23 mRNA expression occur in human fetal bone osteoblasts and chondrocytes, indicating a possible role for CCL23 in the recruitment of osteoclast precursors to the sites of bone reabsorption.
There are no reviews yet.