Caldesmon, HMW (h-Caldesmon) (Smooth Muscle Marker) Antibody [SPM168]

In Stock
Catalog Number Formulation Size Price
800-MSM1X-P0
Purified Ab with BSA and Azide at 200ug/ml
20ug
$259.00
800-MSM1X-P1
Purified Ab with BSA and Azide at 200ug/ml
100ug
$559.00
800-MSM1X-P1ABX
Purified Ab WITHOUT BSA and Azide at 1.0mg/ml
100ug
$559.00
Flat Rate Domestic: $95 | Orders outside the US - Contact Us for Order Information | Ships next business day

Applications & Dilutions

Applications Tested Dillution Protocol Note
Flow Cytometry (Flow)
1-2ug/million cells
Immunofluorescence (IF)
1-3ug/ml
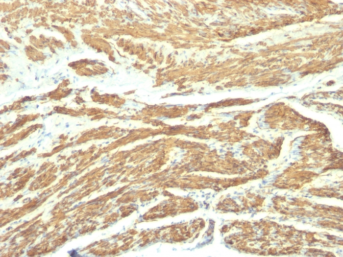
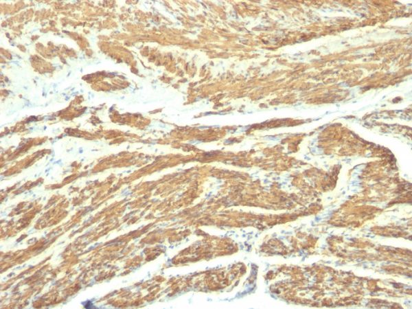
Immunohistochemistry (IHC)
1-2ug/ml
30 min at RT. Staining of formalin-fixed tissues requires heating tissue sections in 10mM Tris with 1mM EDTA, pH 9.0, for 45 min at 95°C followed by cooling at RT for 20 minutes
Western Blot (WB)
2-4ug/ml

Summary

Recognizes a protein of 150kDa, which is identified as the high molecular weight variant of Caldesmon. Two closely related variants of human caldesmon have been identified which are different in their electrophoretic mobility and cellular distribution. The h-caldesmon variant (120'150kDa) is predominantly expressed in smooth muscle whereas l-caldesmon (70'80kDa) is found in non- muscle tissue and cells. Neither of the two variants has been detected in skeletal muscle. This MAb recognizes only the 150kDa variant (h-caldesmon) in Western blots of human aortic media extracts and is unreactive with fibroblast extracts from cultivated human foreskin. Caldesmon is a developmentally regulated protein involved in smooth muscle and non-muscle contraction.

Product Properties & Targets

Antibody Type
Host
Mouse
Species Reactivity
Research Areas
Isotype / Light Chain
IgG1 / Kappa
Cellular Localization
Cytoplasm, Cytoskeleton, Myofibril, Stress fiber
Gene Name
Positive Control
Blood vessels in all tissues, ovary, smooth muscle or leiomyosarcoma., Uterus
Immunogen
Crude human uterus extract
Alternate Names
Caldesmon, CAD; CALD1; Caldesmon 1 Isoform 1; Caldesmon 1 Isoform 2; Caldesmon 1 Isoform 3; Caldesmon 1 Isoform 4; Caldesmon 1 Isoform 5; CDM; HCAD; LCAD; NAG22

Database Links

Entrez Gene ID
800
SwissProt

Additional Information

Clone
SPM168
Chromosome Location
7q33
Mol. Weight of Antigen
150kDa

Functions

  • Actin- and myosin-binding protein implicated in the regulation of actomyosin interactions in smooth muscle and nonmuscle cells (could act as a bridge between myosin and actin filaments). Stimulates actin binding of tropomyosin which increases the stabilization of actin filament structure. In muscle tissues, inhibits the actomyosin ATPase by binding to F-actin. This inhibition is attenuated by calcium-calmodulin and is potentiated by tropomyosin. Interacts with actin, myosin, two molecules of tropomyosin and with calmodulin. Also plays an essential role during cellular mitosis and receptor capping. Involved in Schwann cell migration during peripheral nerve regeneration (By similarity).

Key References

  • Frid MG, et al. Phenotypic changes of human smooth muscle cells during development: Late expression of heavy caldesmon and calponin. Dev Biol 1992; 153:185

Storage & Stability

Antibody with azide - store at 2 to 8°C. Antibody without azide - store at -20 to -80°C. Antibody is stable for 24 months. Non-hazardous. No MSDS required.

Limitations

This antibody is available for research use only and is not approved for use in diagnosis.

Supplied as

200ug/ml of Ab Purified from Bioreactor Concentrate by Protein A/G. Prepared in 10mM PBS with 0.05% BSA & 0.05% azide. Also available WITHOUT BSA & azide at 1.0mg/ml.

Warranty

There are no warranties, expressed or implied, which extend beyond this description. Company is not liable for any personal injury or economic loss resulting from this product.

Reviews

There are no reviews yet.

Be the first to review “Caldesmon, HMW (h-Caldesmon) (Smooth Muscle Marker) Antibody”

Your email address will not be published. Required fields are marked *

PARTNERSHIP OPPORTUNITIES

NeoBiotechnologies holds Exclusive rights to 10,000 recombinant and hybridoma antibody products, available for Licensing or Collaboration.

LETS TALK