
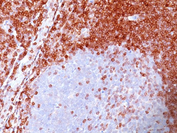
Formalin-fixed, paraffin-embedded human non-Hodgkin's lymphoma stained with Bcl-2 Mouse Monoclonal Antibody (100/D5).

Intracellular staining of Bcl-2 in Jurkat cells. Bcl-2 Mouse Monoclonal Antibody (100/D5) (red); isotype control (green).

SDS-PAGE Analysis of Purified Bcl-2 Mouse Monoclonal Antibody (100/D5). Confirmation of Integrity and Purity of Antibody.

SDS-PAGE Analysis of Purified Apoptosis regulator Bcl-2 Mouse Monoclonal Antibody (100/D5). Confirmation of Purity and Integrity of Antibody.
This antibody recognizes a protein of 25-26kDa, identified as the bcl-2 lpha oncoprotein. It shows no cross-reaction with Bcl-x or Bax protein. Expression of bcl-2 lpha oncoprotein inhibits the programmed cell death (apoptosis). In most follicular lymphomas, neoplastic germinal centers express high levels of bcl-2 lpha protein, whereas the normal or hyperplastic germinal centers are negative. Consequently, this antibody is valuable when distinguishing between reactive and neoplastic follicular proliferation in lymph node biopsies. It may also be used in distinguishing between those follicular lymphomas that express bcl-2 protein and the small number in which the neoplastic cells are bcl-2 negative.
There are no reviews yet.