
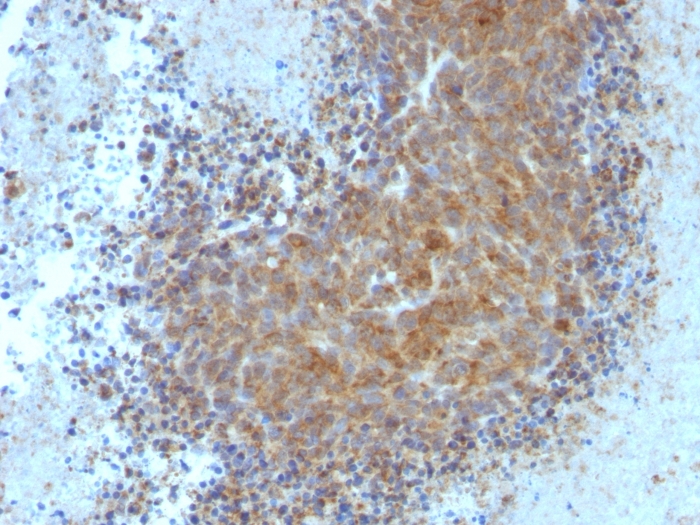
Formalin-fixed, paraffin-embedded Hodgkin's Lymphoma stained with BAX Mouse Monoclonal Antibody (BAX/962).

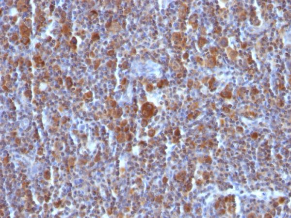
Formalin-fixed, paraffin-embedded human Melanoma stained with BAX Mouse Monoclonal Antibody (BAX/962).
Recognizes a protein of 21kDa, identified as the Bax protein. This MAb is highly specific to Bax and shows no cross-reaction with Bcl-2 or Bcl-X protein. Bcl-2 blocks cell death following a variety of stimuli. Bax has extensive amino acid homology with Bcl-2 and it homodimerizes and forms heterodimers with Bcl-2. Overexpression of Bax accelerates apoptotic death induced by cytokine deprivation in an IL-3 dependent cell line, and Bax also counters the death repressor activity of Bcl-2.
There are no reviews yet.