
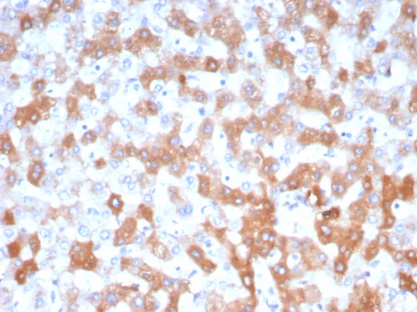
Formalin-fixed, paraffin-embedded human liver stained with Apolipoprotein H Mouse Monoclonal Antibody (APOH/3705). HIER: Tris/EDTA, pH9.0, 45min. 2°C: HRP-polymer, 30min. DAB, 5min.

SDS-PAGE Analysis of Purified Apolipoprotein H Mouse Monoclonal Antibody (APOH/3705). Confirmation of Purity and Integrity of Antibody.

Analysis of Protein Array containing more than 19,000 full-length human proteins using Apolipoprotein H Mouse Monoclonal Antibody (APOH/3705). Z- and S- Score: The Z-score represents the strength of a signal that a monoclonal antibody (MAb) (in combination with a fluorescently-tagged anti-IgG secondary antibody) produces when binding to a particular protein on the HuProtTM array. Z-scores are described in units of standard deviations (SD's) above the mean value of all signals generated on that array. If targets on HuProtTM are arranged in descending order of the Z-score, the S-score is the difference (also in units of SD's) between the Z-score. S-score therefore represents the relative target specificity of a MAb to its intended target. A MAb is considered to specific to its intended target, if the MAb has an S-score of at least 2.5. For example, if a MAb binds to protein X with a Z-score of 43 and to protein Y with a Z-score of 14, then the S-score for the binding of that MAb to protein X is equal to 29.
Human apolipoprotein H (apoH, also designated b2-glycoprotein I, activated protein C binding protein or APC inhibitor) is a five-domain plasma membrane-adhesion protein that is rich in sialic acid linked a to galactose or N-acetylgal-actosamine. apoH has been implicated in a variety of physiological pathways, including blood coagulation and the immune response. apoH is a cofactor for the binding of serum auto-antibodies from antiphospholipid syndrome, and is correlated with thrombosis, lupus erythematosus and recurrent fetal loss. In addition, apoH is also implicated in the clearance of apoptotic bodies from the circulation. The apoH gene is located on human chromosome 17q24.2. apoH is synthesized by hepatocytes and is present in blood associated with plasma lipoproteins. apoH displays a genetically determined structural polymorphism including three alleles (apoH*1, apoH*2 and apoH*3). apoH can inhibit the translocation of cholesterol from extracellular pools to macrophages, which reduces the cellular accumulation of cholesterol, suggesting that apoH may play an important role in the prevention of atherosclerosis.
There are no reviews yet.